多生牙拔牙多少钱

拔牙收费有了明白账_拔牙_拔牙就诊指南 - 好大夫在线
图片尺寸1352x1919
济南美奥口腔拔牙一颗多少钱附带拔智齿牙的价格表哦
图片尺寸514x590
拔牙多少钱一颗2022价格表拔智齿乳牙前牙和后牙费用都有
图片尺寸622x610
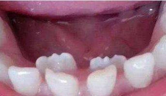
宝宝多生牙拔牙记一多生牙的成因
图片尺寸1080x1439
无痛拔牙多少钱一颗拔牙多少钱一颗后槽牙
图片尺寸640x418![花了1000块钱拔牙,感觉被骗了[嘘][滑稽]](https://i.ecywang.com/upload/1/img1.baidu.com/it/u=3472414876,306647044&fm=253&fmt=auto&app=120&f=JPEG?w=800&h=821)
花了1000块钱拔牙,感觉被骗了[嘘][滑稽]
图片尺寸1248x1280
拔牙要花费多少钱是否可以用医保
图片尺寸3024x4032
小朋友日常检查的意外发现——多生牙!
图片尺寸1080x1440
补牙拔牙可以刷医保卡吗
图片尺寸713x721
看了这3张图你就明白了(去医院拔牙多少钱一颗智齿) - 冷思维
图片尺寸640x690
乳牙拔除:30元起多生牙拔除:100元起正畸拔牙:160元起残根残冠拔除:80
图片尺寸500x400
如果您被诊断出有多生牙,那么可能需要进行拔牙手术.
图片尺寸640x427
大多数病牙是可以通过补牙,镶牙,牙周病治疗等方法进行挽回的,只有一
图片尺寸343x199
拔完智齿的我 #多生牙 终于下定决心在上周去把智齿拔了,也是完成
图片尺寸1080x1440
小林说电子病历上面显示要拔除的是24,47,36牙外加多生牙.
图片尺寸1080x712
记录6岁娃多生牙倒生牙拔牙经历-1
图片尺寸1080x1439
多生牙拔牙方式的选择:露头拔还是等长在拔?
图片尺寸640x427
拔牙位置:一般前牙拔牙150-300元左右就够了,前磨牙400-500元,恒磨牙
图片尺寸640x426
多生牙拔牙多少钱厦门牙齿矫正
图片尺寸1380x1380
在口腔内科方面,他在我院率先开展后牙根管治疗,尤其对于第二磨牙干髓
图片尺寸700x525