多齿牙图片

罕见多齿症患者嘴里长满牙齿密集恐惧症的噩梦
图片尺寸450x378
小朋友两颗多生牙未及时拔除,导致门牙外突,影响美观,口腔问题 - 抖音
图片尺寸951x1691
7岁男童因多生牙拔牙昏迷40天,难道父母不该好好反思下么
图片尺寸1098x714
宝宝有多生牙怎么办这些危害家长要重视
图片尺寸800x533
根据全口曲断片判断埋伏多生牙位置,探查
图片尺寸1800x1200
真假难辨的多生牙(典型病例)_儿童牙病_疾病介绍_治疗方法_相关疾病
图片尺寸2064x2109
上门牙多生牙图片(上门牙多生牙图片是怎样) | 苏普空间
图片尺寸640x427
儿童多生牙拔除
图片尺寸1824x1216
多生牙长出的位置不好应该要拔除吗
图片尺寸684x423
可是有的人天生就不用烦拔牙,不用烦掉牙,这些人就是可怕的多齿症患者
图片尺寸471x612![上前牙多生牙修复,各位指点一二 [病例帖]](https://i.ecywang.com/upload/1/img0.baidu.com/it/u=2277412749,1220655748&fm=253&fmt=auto&app=138&f=JPEG?w=499&h=333)
上前牙多生牙修复,各位指点一二 [病例帖]
图片尺寸5185x3457
术前口内情况,一颗多生牙长于腭侧骨内可见
图片尺寸1800x1200
由于多生牙额外增加了牙弓的牙量,所以经常引起邻牙的错位或阻荫.
图片尺寸397x225
儿童多生牙怎么办
图片尺寸400x268
右下颌45间多生牙
图片尺寸5184x3456
多生牙_介绍_治疗方式 - 好大夫在线
图片尺寸677x445
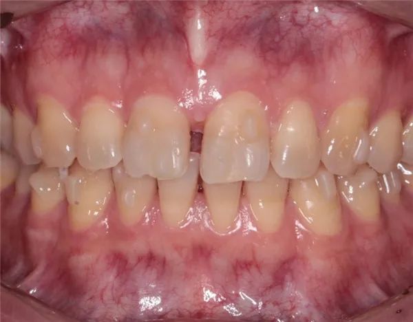
门牙多生牙做正雅隐形矫正没想到在深圳正恩口腔12个月就矫正成功了
图片尺寸600x468
年轻小伙张开嘴牙齿似怪兽,多生牙问题不容小觑
图片尺寸3648x2736
儿子门牙多生牙埋伏牙终于拔出住院天总计花费一万二
图片尺寸800x800
成人上下颌双侧前磨牙区7颗多生牙病例分析
图片尺寸271x574