多齿症

罕见多齿症患者嘴里长满牙齿密集恐惧症的噩梦
图片尺寸450x378
罕见多齿症患者嘴里长满牙齿,密集恐惧症的噩梦
图片尺寸471x612
美国一只大丹犬患多齿症长有70颗牙齿
图片尺寸306x444
罕见多齿症患者嘴里长满牙齿密集恐惧症的噩梦
图片尺寸640x556
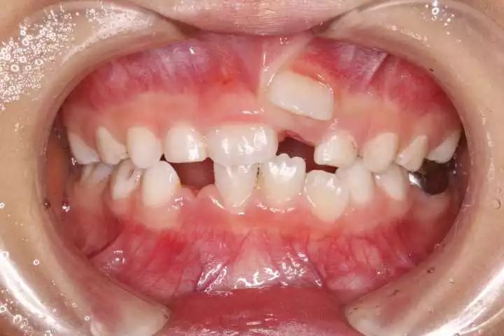
大概需要多少钱 手术难度大不大 这种是多齿症吧
图片尺寸1149x1280
发生於下颚左右两侧小臼齿附近的多生牙
图片尺寸500x333
9岁童患多齿症 br />口内有300只牙
图片尺寸729x410
多生牙造成牙齿排列不齐
图片尺寸640x431
大概需要多少钱 手术难度大不大 这种是多齿症吧
图片尺寸1181x1280
7岁男孩长出双排牙需要一颗颗拔掉奶奶自责不已都赖我
图片尺寸720x480
顺利拔除萌出和埋伏两枚多生牙.手术时间半小时. 查看 查看 查看
图片尺寸3888x2592
吓人的双排牙宝宝越来越多跟家长的一个坏习惯有关早点改
图片尺寸762x561
多生牙本来就是不该存在的牙齿,很多有多生牙的患者都会来到医院
图片尺寸684x423
儿童多生齿的形成原因 - 好大夫在线
图片尺寸453x304
右下颌45间多生牙
图片尺寸5184x3456
关于多齿症是真的吗? - 知乎
图片尺寸922x1879![【病例讨论】近日遇到临床上比较少见的多生牙病例 [病例帖]](https://i.ecywang.com/upload/1/img0.baidu.com/it/u=1185428893,1922812805&fm=253&fmt=auto&app=138&f=JPEG?w=640&h=425)
【病例讨论】近日遇到临床上比较少见的多生牙病例 [病例帖]
图片尺寸640x425
什么是多生牙?太可恶了(口腔科普第三十二期)
图片尺寸339x166
请问那颗是多生齿拔那颗好.
图片尺寸416x736
最近易患这种病30多岁牙掉光
图片尺寸353x224