大前庭导水管综合征

大前庭导水管综合征lvas是如何遗传的
图片尺寸1008x1108
什么是大前庭导水管综合症
图片尺寸1080x605
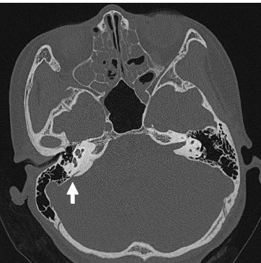
大前庭导水管综合征ct表现
图片尺寸959x547
大前庭导水管综合征的ct影像学诊断
图片尺寸500x554
儿童听力 #儿童听力障碍 #大前庭 - 抖音
图片尺寸1080x1331
大前庭导水管综合征案例分享
图片尺寸1080x810
大前庭导水管综合征的影像诊断
图片尺寸640x480
大前庭导水管综合征影像诊断.ppt
图片尺寸1152x864
儿童大前庭导水管综合症的多排螺旋ct诊断ppt
图片尺寸1080x810
大前庭导水管综合征的ct影像学诊断 - 好大夫在线
图片尺寸374x377
大前庭导水管综合征的ct影像学诊断
图片尺寸500x374
大前庭导水管综合征(lvas)就是在70年代末随着ct的问世才被发现的一种
图片尺寸600x1215
什么是大前庭导水管综合征(lvas)?
图片尺寸379x220
大前庭综合征也称先天性前庭水管扩大.
图片尺寸712x458
大前庭导水管综合征的mri诊断
图片尺寸1517x2017
大前庭导水管综合征的治愈方案,收藏一下!
图片尺寸1050x742
大前庭导水管综合症
图片尺寸536x529
什么是大前庭导水管综合征
图片尺寸600x227
大前庭导水管综合征的影像诊断
图片尺寸640x480
什么是"大前庭导水管综合征"?
图片尺寸365x300