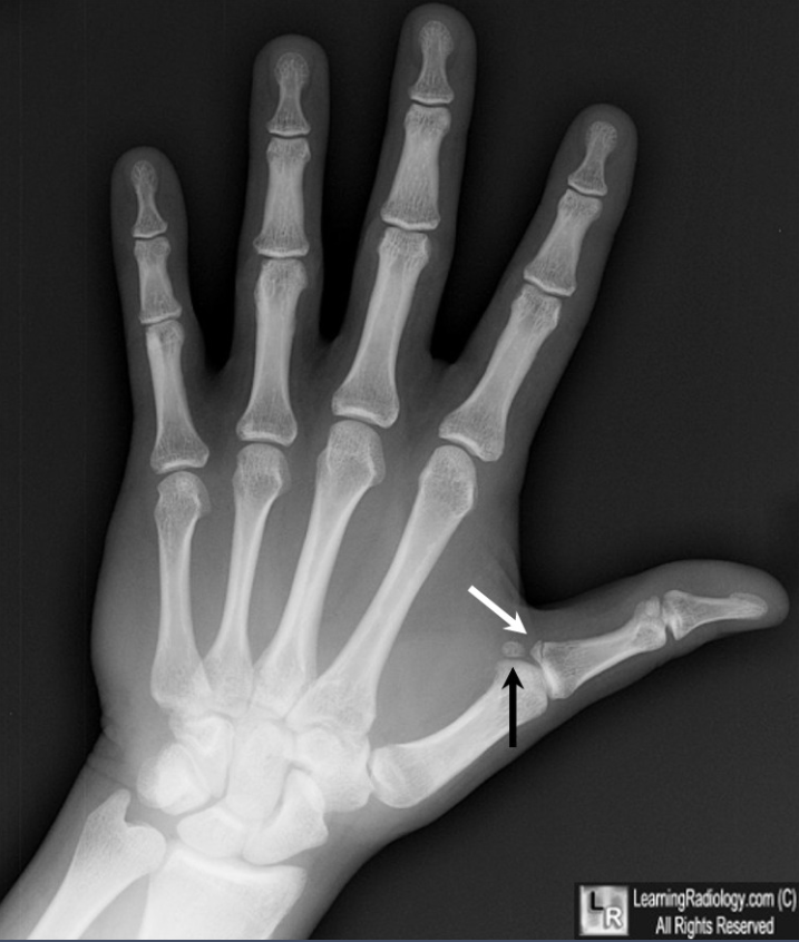
大拇指脱臼

大拇指错位脱臼以前打篮球大拇指撞
图片尺寸600x800
骨科大佬分享左拇指末节断裂左手大鱼际撕脱病例
图片尺寸1440x1080
求助:拇指脱臼后的关节疼痛对指无力
图片尺寸1632x1224
大拇指脱臼
图片尺寸240x356
大拇指错位脱臼以前打篮球大拇指撞
图片尺寸600x800
求助拇指脱臼后的关节疼痛对指无力
图片尺寸1632x1224
少见单纯拇指掌腕关节脱位
图片尺寸800x1067
手指固定夹板指套关节脱位扭伤器康复护支具伸直弯曲护具 蛙式大拇指
图片尺寸800x800
沈积医手足外科大讲堂~第八十期:重复拇指畸形矫形术后继发畸形的
图片尺寸1080x1620
大拇指还能"ok"吗?
图片尺寸717x846
拇指撕脱离断
图片尺寸698x542
大拇指脱臼复位手法有哪些
图片尺寸400x267
手指关节脱位的手术治疗
图片尺寸1536x1536
求助拇指脱臼后的关节疼痛对指无力
图片尺寸1632x1224
skiter在输了决赛之后大拇指脱臼了
图片尺寸389x428
这个x光片看来拇指有脱臼或者骨折吗
图片尺寸768x1024
求助:拇指脱臼后的关节疼痛对指无力
图片尺寸1024x768
大拇指脱臼没有及时复位会怎么样,现在已经过去将近两个月了
图片尺寸500x667
左手拇指离断能否治愈,听听患者怎么说
图片尺寸1080x1347
七岁男童患罕见病骨骼脱臼变形:妈妈,我想上学
图片尺寸500x667