大枕大池囊肿

手绘:大枕大池和枕大池囊肿
图片尺寸1704x1866
手绘:大枕大池和枕大池囊肿
图片尺寸1704x1866
有人写大枕大池有人说是枕大池蛛网膜囊肿有依据吗今天我们就来讨论一
图片尺寸1080x445
大枕大池&蛛网膜囊肿,一文读懂它们是啥!
图片尺寸1200x1600
枕大池蛛网膜囊肿?一文给你讲明白!🧠
图片尺寸1200x1600
枕大池囊肿:你需要知道的一切 🧠
图片尺寸1241x1050
有人写大枕大池,有人说是枕大池蛛网膜囊肿,有依据吗?
图片尺寸806x498
枕大池蛛网膜囊肿?一文读懂它!
图片尺寸1200x1600
有人写大枕大池有人说是枕大池蛛网膜囊肿有依据吗今天我们就来讨论一
图片尺寸1080x447
有人写大枕大池,有人说是枕大池蛛网膜囊肿,有依据吗?
图片尺寸1080x446
如何鉴别—大枕大池与枕大池蛛网膜囊肿
图片尺寸1080x810
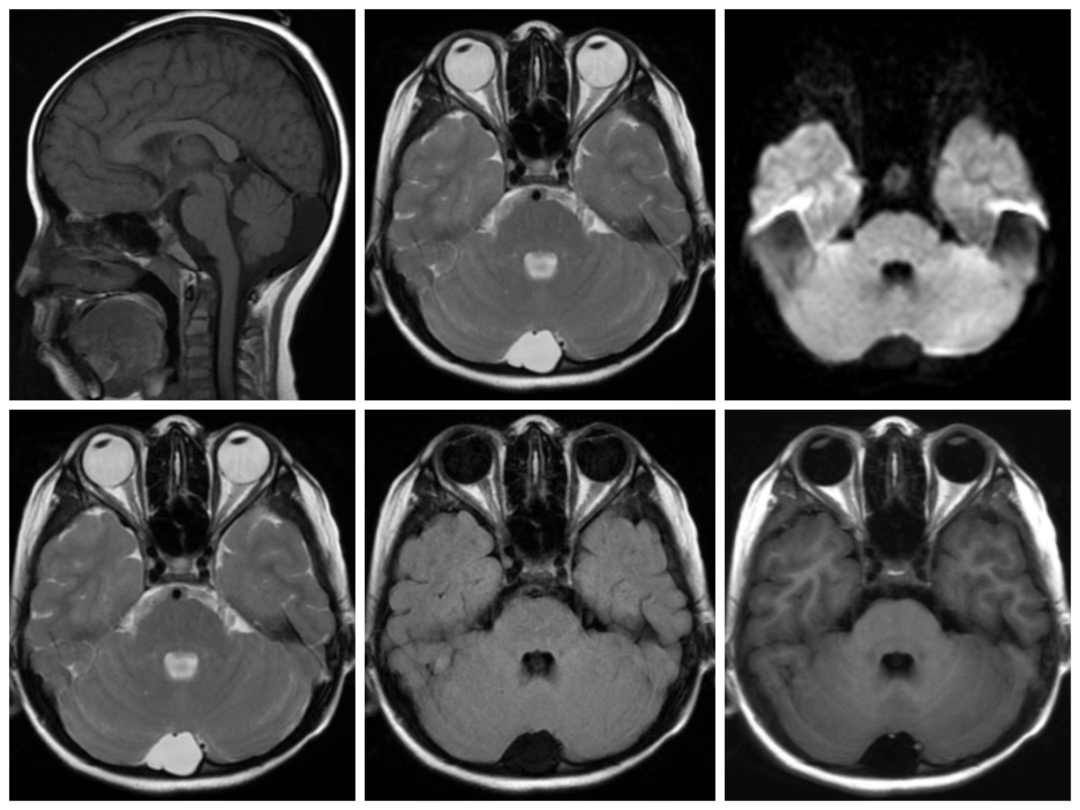
这个也是枕大池囊肿吗
图片尺寸3060x4080
这个名字听起来或许有些让人紧张,枕大池囊肿严重吗?
图片尺寸900x1200
蛛网膜囊肿or大枕大池?这些影像细节告诉你答案!
图片尺寸995x831
枕大池囊肿
图片尺寸3072x2304
这个也是枕大池囊肿吗
图片尺寸3060x4080
枕大池囊肿
图片尺寸3072x2304
枕大池囊肿
图片尺寸3072x2304
枕大池蛛网膜囊肿
图片尺寸785x872
枕大池囊肿
图片尺寸3072x2304