大脑灰质增加

起床后突然头痛原来是低颅压综合征
图片尺寸1000x578
这个实验发现,从怀孕到分娩后2年的时间里,妈妈们的大脑灰质体积相对
图片尺寸1200x800
方式进化出更大的相对脑容量,也就是大脑质量占身体质量比重越来越大
图片尺寸1124x710
新生儿缺氧缺血性脑病的ct诊断0ppt
图片尺寸1080x810
中枢神经系统正常及异常影像改变(北京协和医院)ppt
图片尺寸1080x810
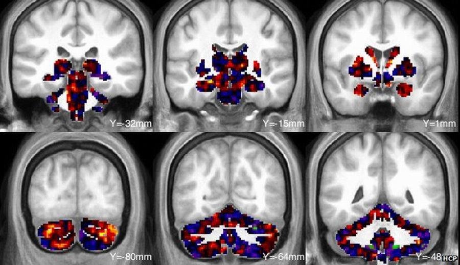
灰色影子:大脑灰质中的大脑活动,当志愿者观看人类面孔时黄色和红色
图片尺寸900x519
科学研究发现体育锻炼可能让大脑灰质增加即使是八十岁
图片尺寸640x400
规律,构建了精细年龄分段下的学龄儿童脑发育结构和功能图谱,脑灰质
图片尺寸1080x778
图片说明:图中蓝色区域为大脑灰质.
图片尺寸658x370
脑白质和脑脊液组成,他们各司其职: 脑灰质位于大脑表层,负责接收处理
图片尺寸999x1280
冥想能增加大脑灰质
图片尺寸453x258
大脑基础情况示意图科学家研究显示,大脑是由脑白质和脑灰质两部分
图片尺寸600x368
脑卒中影像学鉴别诊断(一):灰质白质改变
图片尺寸333x535
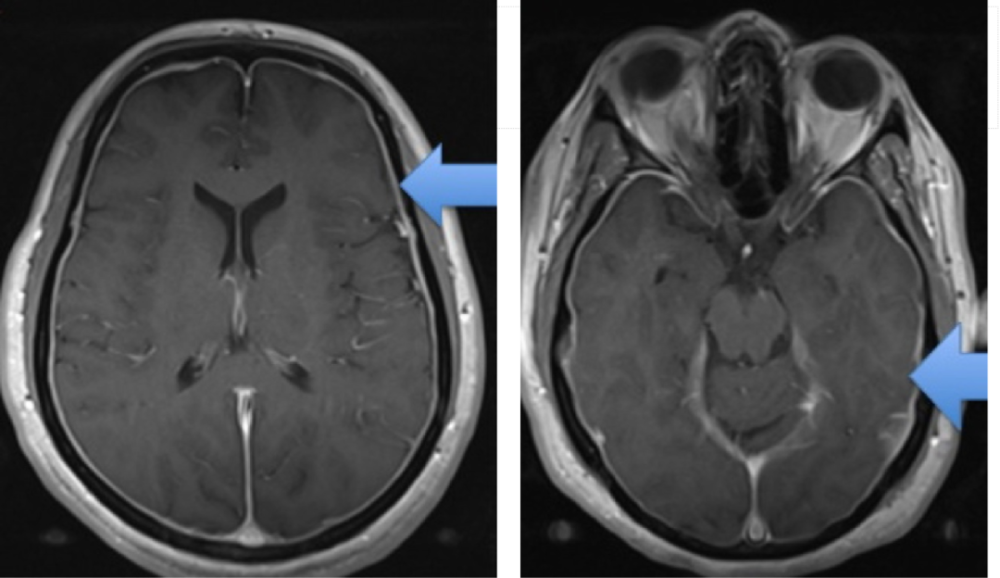
一文理清:脑膜强化的常见类型与鉴别诊断
图片尺寸820x500
那么冬瓜瓤就是大脑白质,集中在内部,冬瓜皮就是大脑灰质,集中在表层
图片尺寸1080x515
无人,竖图,插画,室内,白天,白色背景,正面,数码,科技,大脑,阴影,网络
图片尺寸754x819
病例
图片尺寸1062x1598
1,291名体重指数高,腰臀比高的人的平均灰质脑容量最低,为786立方厘米
图片尺寸600x565
0磁共振能帮助识别导致癫痫的颅内细微病变如灰质易位,小的肿瘤.
图片尺寸424x600
麻省理工研究表明促进儿童大脑发育的最佳方式并不是阅读
图片尺寸639x527