大脚骨照片

大脚骨看程度进行治疗,牛江红解析
图片尺寸1029x864
大脚骨(拇外翻)可防可治
图片尺寸1279x2978
大脚骨也许会带来一些
图片尺寸811x1442
北京正规大脚骨医院圣嘉新看的如何?
图片尺寸605x433
顺义治大脚骨(拇外翻)可以去哪家医院
图片尺寸960x673
🦶第一趾骨:脚部的大拇趾
图片尺寸1201x800
微创美足治疗大脚骨
图片尺寸684x713
自从有点经济实力以后,我就一直挺想把这个大脚骨给解决掉,平时在网上
图片尺寸1438x2158
足部骨头
图片尺寸1280x1706
疼痛的大脚骨,一位重度拇外翻患者的治疗过程
图片尺寸1144x2255
大脚骨怎么医治:告别大脚骨困扰,治疗妙招一一呈现 大脚骨,医学上称为
图片尺寸2048x2048
北京大脚骨需要做哪些检查
图片尺寸2048x2048
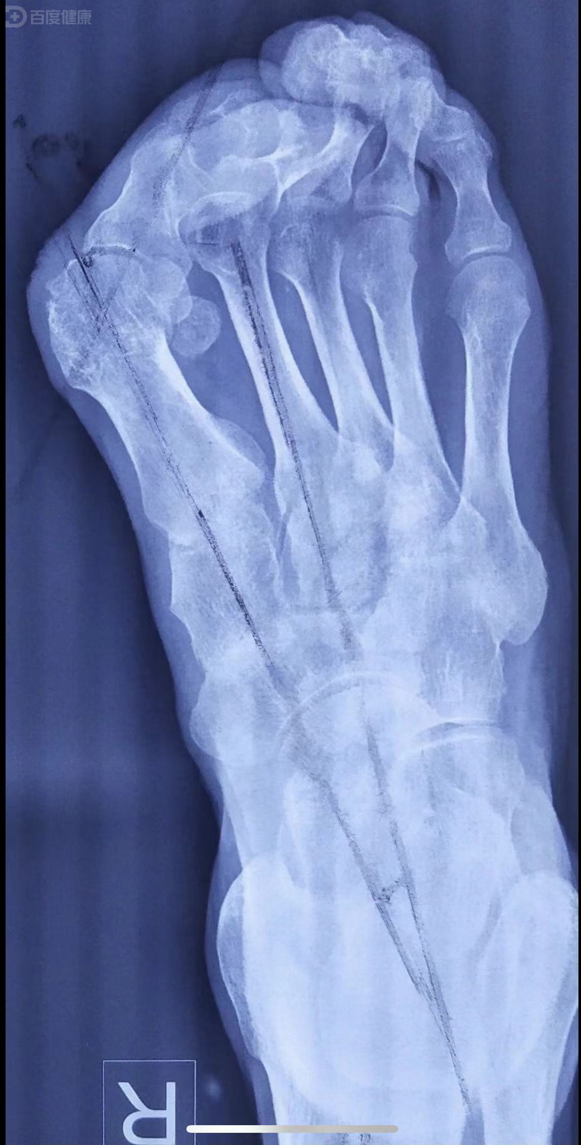
微创技术并没有太大变化,12年前也这样做,右脚就是
图片尺寸1080x1440
拇外翻越发严重了怎么办?大脚骨严重怎么手术
图片尺寸882x1148
随着病情发展,大脚趾关节处疼痛会愈发明显且频繁
图片尺寸1280x1706
马桂文说大脚骨
图片尺寸1701x1135
北京大脚骨该如何进行预防
图片尺寸1536x2048
图片尺寸843x1498
什么是大脚骨?
图片尺寸526x702
脚拐骨大最常见的原因是拇外翻,也可能是大骨节病或骨质增生导致.
图片尺寸647x854