大门牙镶牙前后图片

门牙种植前后对比
图片尺寸500x500
缺失多颗牙齿,怎么镶牙?
图片尺寸500x196
拔牙术,复杂牙阻生智齿拔除手术,无挂钩式镶牙技术及各种牙槽外科手术
图片尺寸598x182
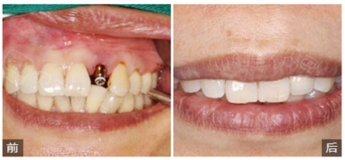
深圳拜尔口腔门牙种植牙前后对比照
图片尺寸500x232
大门牙烤瓷前后对比图
图片尺寸519x219
谈谈我在西安海涛口腔医院种植门牙的真实感受
图片尺寸500x233
门牙种植前后对比案例
图片尺寸500x161
张阿姨镶牙前后对比
图片尺寸524x210
那你说我的门牙有缝怎么办!
图片尺寸500x500
镶牙前后对比图
图片尺寸498x204
上门牙松动往下掉,咬东西也疼,可以直接拔掉做种植吗?
图片尺寸554x253
镶牙的种类有哪些怎样选择适合自己的镶牙方式
图片尺寸544x221
19岁妞门牙缺失4个来吐槽郑州唯美口腔的种植牙技术
图片尺寸837x296
苏州种植牙比镶牙的优点是什么
图片尺寸386x361
左边的门牙做了全瓷牙,效果很棒呀……大家看得出来是假牙吗?
图片尺寸570x428
4颗门牙缺失种植前后效果对比图
图片尺寸569x186
杭州镶牙多少钱一颗-口腔健康网
图片尺寸450x241
门牙种植前后对比
图片尺寸400x342
西安美奥口腔创新院门牙前凸矫正前后对比
图片尺寸602x425
治疗前后对比图
图片尺寸792x244