大面积脑血栓

房颤老人突发大面积脑梗哈医大四院多学科联动救回患者一条命
图片尺寸317x305
右侧大面积脑梗死,可见右大脑中动脉高密度征,提示血栓形成
图片尺寸1200x1600
大面积脑梗死合并颅内出血.
图片尺寸850x1134
我院首例大面积脑梗机械取栓术获得成功
图片尺寸2137x1200
大面积脑梗死的介绍及图片展示_脑梗塞_脑梗塞介绍 - 好大夫在线
图片尺寸3648x2736
脑出血后大面积脑梗塞雪上加霜怎么办
图片尺寸960x1920
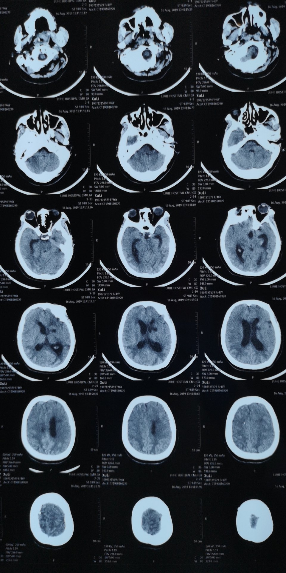
颅脑ct发现左侧大面积脑梗死
图片尺寸781x443
脑出血伴有大面积脑梗塞昏迷33天 - 好大夫在线
图片尺寸2736x3648
右侧大脑半球大面积脑梗死,合并右侧顶枕部颅内血肿.
图片尺寸2666x2000
一例成功的大面积脑梗塞超急性期溶栓治疗
图片尺寸1920x1080
神经外科为一例71岁急性大面积脑梗患者成功取栓
图片尺寸450x800
右侧额颞顶叶大面积脑梗死案例
图片尺寸1215x1620
大面积出血性脑梗死
图片尺寸640x385
左侧大脑中动脉供血区大面积脑梗塞
图片尺寸1164x1164
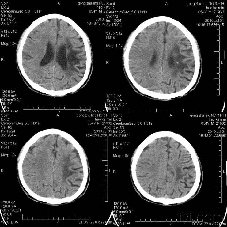
分享一例大面积脑梗塞的影像演变
图片尺寸741x741
大面积脑梗死
图片尺寸2000x2667
头部ct也出问题了#胡哥说神经(脑与脊髓)##缺血性脑卒中# 大面积脑
图片尺寸1112x672
脑出血后大面积脑梗塞雪上加霜怎么办
图片尺寸450x800
大面积核心脑梗死病人的取栓
图片尺寸3024x4032
大面积脑梗塞去骨瓣减压手术救命|dr盖延廷 病例精选
图片尺寸2559x2558