头影测量a点

正畸头影测量常用标志点详解
图片尺寸1242x1642
头影测量中如何准确找到标记点
图片尺寸1080x1048
正畸头影测量标准值与项目
图片尺寸2435x1414
头影测量中的关键平面:你的面孔密码 🔍
图片尺寸1242x1626
正畸前的秘密:头影测量为何如此重要
图片尺寸1080x586
正畸头影侧量
图片尺寸1080x3162
hzm美学头影测量法解析
图片尺寸807x1060
正畸前的秘密:头影测量为何如此重要
图片尺寸1080x657
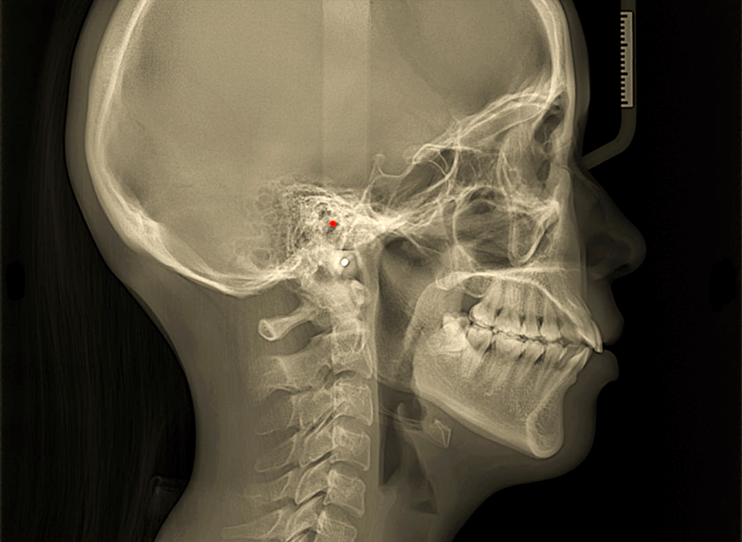
:蝶鞍影像的中心点,是头影测量中的重要参考基准
图片尺寸1072x1335
深入了解头影测量中的多种角度项目
图片尺寸1080x1060
头影测量标志点
图片尺寸1280x960
掌握头影测量定点技巧,轻松搞定口腔正畸方案
图片尺寸1159x1071
深入了解头影测量中的多种角度项目
图片尺寸1080x1077
正畸头影测量法
图片尺寸812x1080
深入了解头影测量中的多种角度项目
图片尺寸1080x823
头影测量标志点详解,助你精准诊断
图片尺寸1080x789
颅部和软组织侧面头影测量标志点
图片尺寸1242x1655
ai头影测量分析功能上线
图片尺寸1152x720
首先,我们来看看最常见的三个头影测量角度:sna,snb和anb,它们在正畸
图片尺寸1080x845
口腔 / 我和口腔科的故事
图片尺寸588x671