头颅三维

九院韦敏教授丨术前检查对轮廓手术的重要性
图片尺寸692x779
领智三维扫描设备助力美容行业
图片尺寸500x208
利用3d软件对患者术前颅底ct数据进行三维重建,打印3d头颅颅骨模型
图片尺寸659x346
大视野三维立体图像
图片尺寸572x333
正文9,头颅ct和三维重建头颅ct扫描通常适用于既往有颅脑损伤病史
图片尺寸864x488
三维重建是数字化手术设计的基础和前提.
图片尺寸800x500
颅骨三维成形示骨缺损状态.颅骨修补术中照片.
图片尺寸903x574
技术前沿3d打印在三叉神经痛穿刺治疗中的应用
图片尺寸513x262
手术后的三维ct显示植骨后的骨块及形态,骨量较手术前明显增加(图8).
图片尺寸948x421
立即将患儿送至放射科行头颅多层螺旋ct容积扫描加三维重建,ct 骨三维
图片尺寸464x244
先做头部ct三维重建.
图片尺寸640x853
术后三维复查,peek板与骨窗贴合良好,严丝合缝患者术前术后头颅外观
图片尺寸1254x737
特别是在大脑左侧是不是出现语言的问题,语言的障碍;通过三维重建技术
图片尺寸1077x645
先做头部ct三维重建.
图片尺寸640x853
头骨化石三维扫描图
图片尺寸474x392
术后颅骨三维重建,虽局部颅骨有缺损,但是弧度比较顺滑.
图片尺寸1531x1166
颅底三维重建三叉神经半月节球囊压迫(pbc)术,是国内外公认治疗顽固性
图片尺寸433x515
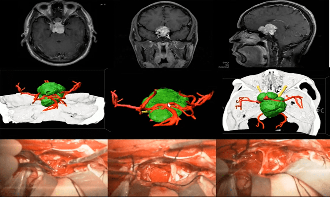
【唐都颅脑肿瘤中心赵天智】发现脑膜瘤也可以"和平相处"_手机搜狐网
图片尺寸1036x584
标志红色点为卵圆孔处利用3d软件对患者术前颅底ct数据进行三维重建
图片尺寸542x439
我所引进世界最先进ct应用新技术——国内首家应用 图像极度逼真_三维
图片尺寸1080x765