头颅冠状位矢状位图解

颅脑幕下mri冠状位解剖中英文对照标识
图片尺寸637x429
颅脑 mri 矢状位面神经,听神经,三叉神经脑干:延髓,脑桥,中脑海马脑叶
图片尺寸1080x809
头颅mri读片知识人人入门必修内容
图片尺寸640x480
经典颅脑断层解剖图冠状位
图片尺寸398x532
图1-49 头冠状切面the coronal seetion of the head图1-50 头(正中矢
图片尺寸635x563
行头颅核磁共振检查了,明确肿瘤与脑组织间关系,肿瘤与矢状窦之间关系
图片尺寸962x770
水平位(轴位)断层解剖图矢状位断层解剖:中央核区断层解剖:解剖是医学
图片尺寸1080x758
考虑到西西左侧面部的矢状位后缩,如果想要将这部分与右侧拉齐至水平
图片尺寸1080x896
几分钟就扫完的头颅mri mra,是你想要的?_时间_序列
图片尺寸792x478
超详细头颅mr高清解剖(必点收藏)
图片尺寸640x480
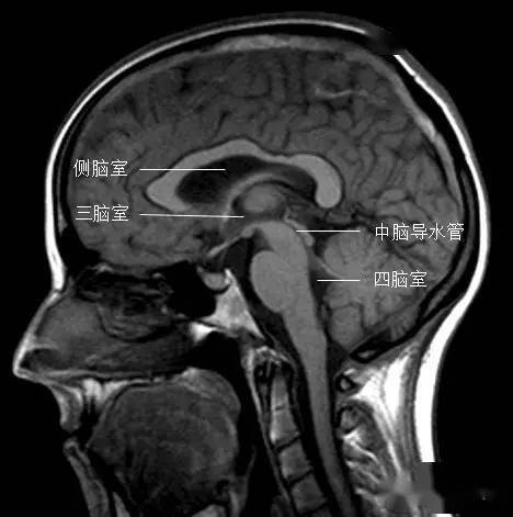
冠状位矢状位三脑室在哪
图片尺寸468x471
前囟点:又称额顶点,自眉间向后13cm处,为冠状缝与矢状缝汇合处,故又称
图片尺寸640x661
矢状面上从额窦(fs)后到蝶骨平台,冠状面上从左侧筛骨眶板到右侧筛骨
图片尺寸820x592
图 3 提示胆红素脑病急性期患儿头颅 mri t1wi 双侧苍白球对称性高
图片尺寸640x221
值得收藏高清头颅mr解剖图谱
图片尺寸640x480
轴位:以冠状位和矢状位作为参考定位.
图片尺寸731x513
序列简单解读:冠状面定位方法:一般不扫描冠状面,必要时可以加扫.
图片尺寸1080x581
病灶呈均匀,显著强化(馒头样),以宽基底与前颅窝底相连,冠状位和矢状
图片尺寸833x532
值得收藏高清头颅mr解剖图谱
图片尺寸640x480
鞍区垂体磁共振mri解剖冠状面
图片尺寸596x405