头颅平扫ct

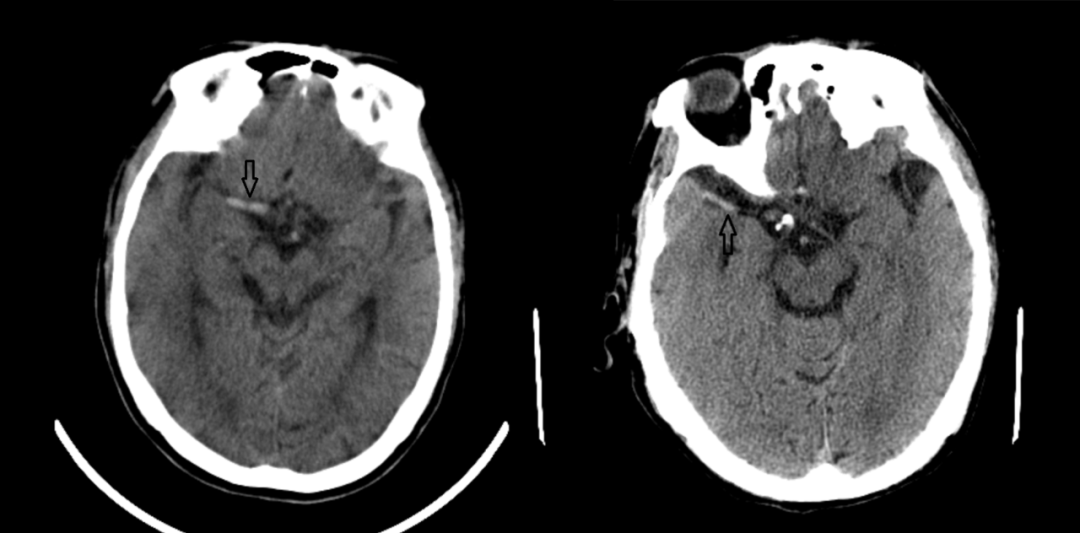
67超急性期大面积脑梗死ct平扫表现
图片尺寸853x944
67超急性期大面积脑梗死ct平扫表现
图片尺寸1080x1193
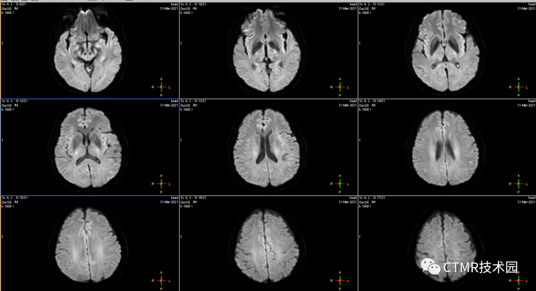
手把手教你基础颅脑mr平扫及后处理
图片尺寸1080x581
67超急性期大面积脑梗死ct平扫表现
图片尺寸845x934
行颅脑ct平扫(可点击图片放大查看)
图片尺寸662x816
67超急性期大面积脑梗死ct平扫表现
图片尺寸1080x634
67超急性期大面积脑梗死ct平扫表现
图片尺寸543x604
67超急性期大面积脑梗死ct平扫表现
图片尺寸702x776
67超急性期大面积脑梗死ct平扫表现
图片尺寸949x852
术前ct平扫
图片尺寸930x697
【高尚病例】术前检查头颅ct平扫发现"颅底凹陷症"1例_测量_枕骨_显示
图片尺寸809x903
67超急性期大面积脑梗死ct平扫表现
图片尺寸917x632
67超急性期大面积脑梗死ct平扫表现
图片尺寸1080x533
颅底解剖及相关病变丨ct平扫的价值
图片尺寸1000x1342
术前检查头颅ct平扫发现"颅底凹陷症"1例_测量_枕骨_形态
图片尺寸750x837
通过ct平扫和核磁t2及flair像,均发现病灶显示不是很明显,容易造成漏
图片尺寸750x1000
入院查体提示头颅畸形,左侧额颞顶部颅骨缺损,入院完善颅脑三维ct检查
图片尺寸764x366
手把手教你基础颅脑mr平扫及后处理
图片尺寸1080x587
▎头颅ct平扫有高血压病史10年,最高血压190/100mmhg,目前口服药物
图片尺寸512x512
术前检查头颅ct平扫发现"颅底凹陷症"1例_测量_枕骨_形态
图片尺寸750x837