头颅核磁

的河南省永城市某医院,查头颅ct未见明显异常(图-1);次日再查头颅核磁
图片尺寸770x1180
患者头颅磁共振成像未见异常
图片尺寸640x357
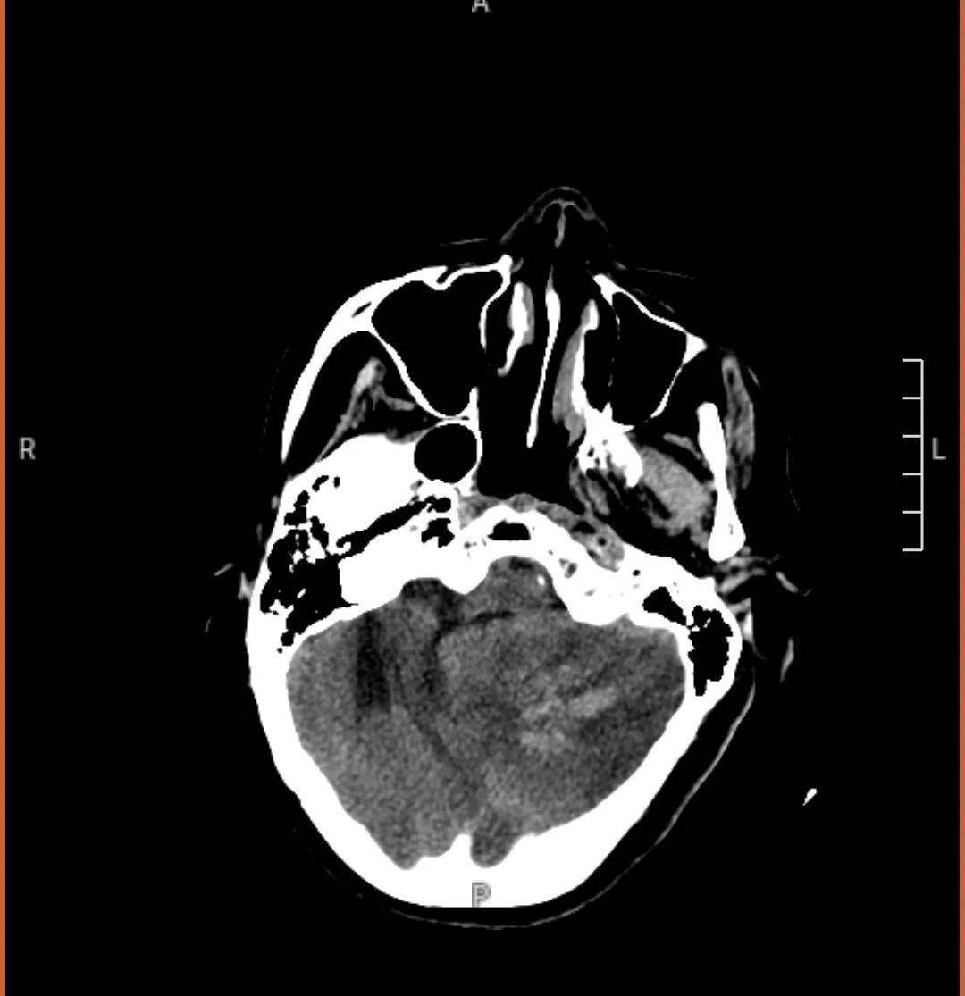
颅脑核磁共振科室值班医生尹洪涛结合患者临床表现及大面积小脑梗死
图片尺寸1080x1153
头部核磁平扫可见左侧半球多发脑梗塞,这就是患者反复缺血发作导致的.
图片尺寸2177x1395
日本精密体检,到底有多精密?
图片尺寸500x375
头颅mri入门,易误诊影像
图片尺寸640x511
头颅磁共振dwi高信号一定就是脑梗死吗?
图片尺寸600x668
高清头颅mri断层图谱(中英对照 案前必备)
图片尺寸640x647
健康龙川热烈祝贺龙川中医院核磁共振正式启用
图片尺寸1080x1046
收藏头颅核磁共振几个成像的意义
图片尺寸1200x900
通过ct平扫和核磁t2及flair像,均发现病灶显示不是很明显,容易造成漏
图片尺寸750x1000
教你如何看头部核磁片一
图片尺寸610x457
头颅mri入门必修之读片知识
图片尺寸960x720
颅脑核磁示左侧丘脑新近梗死灶;多发腔隙性脑梗死,缺血灶;mra 未见
图片尺寸1080x1002
影像复习脑干区常见病变影像表现
图片尺寸960x720
头颅ct提示高密度影是脑出血吗
图片尺寸1080x638
这些头颅mri伪影你见过几个
图片尺寸1080x716
为什么要做增强头颅核磁(mri)检查 - 好大夫在线
图片尺寸1280x960
颅脑核磁共振科室值班医生尹洪涛结合患者临床表现及大面积小脑梗死
图片尺寸1080x1115
头颅磁共振dwi高信号一定就是脑梗死吗?_手机搜狐网
图片尺寸600x643