头颅核磁 脑部

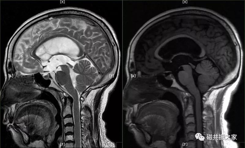
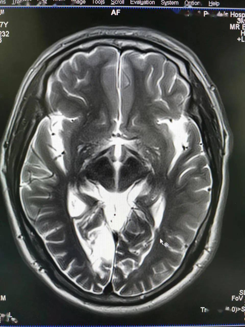
正常小儿颅脑的磁共振表现
图片尺寸960x720
正常小儿颅脑的磁共振表现
图片尺寸640x480
正常小儿颅脑的磁共振表现
图片尺寸960x720
的河南省永城市某医院,查头颅ct未见明显异常(图-1);次日再查头颅核磁
图片尺寸770x1180
为什么脑垂体瘤要做mri核磁共振检查
图片尺寸760x898
颅脑mri检查序列及临床应用
图片尺寸800x484
业务视窗丨磁共振新技术asl之应用脑梗死诊断
图片尺寸960x1280
脑出血后脑积水,反复头颈肩痛,不能眨眼,睡时尿失禁,走路差_头颅
图片尺寸1332x1052
脑出血的核磁表现之dwiflair篇
图片尺寸1077x971
原创脑胶质瘤的手术和术后放射治疗疗效追踪
图片尺寸1231x1041
基础必备 | 脑部磁共振呈像
图片尺寸640x480
图-:2014年4月16日脑核磁组合.png
图片尺寸616x633
正常小儿颅脑的磁共振表现
图片尺寸960x720
何阿姨脑部磁共振检查图,标识部分为脑囊虫头节.广医二院供图
图片尺寸549x660
颅脑核磁示左侧丘脑新近梗死灶;多发腔隙性脑梗死,缺血灶;mra 未见
图片尺寸1080x1002
谢家集区人,头痛4个月,视物模糊3个月,到附近一家大医院就诊,核磁共振
图片尺寸1080x1440
头颅核磁未见异常没有问题的片子.
图片尺寸960x1920
贺晓生教授:婴儿脑积水治疗三年后实例展示_高颅压
图片尺寸2000x1433
正常小儿颅脑的磁共振表现
图片尺寸960x720
图-:2014年11月5日脑核磁组合.png
图片尺寸697x669