头颅正位片

1,护士会为你拍几张非常自然的露出双耳的正面,侧面照.要求卸妆拍摄.
图片尺寸2204x2764
常规x线影像解剖大全
图片尺寸640x480
天地智慧—颈椎x光片的读片要点&常见异常改变
图片尺寸644x654
头颅平片 ct mri正常报告模板_影像_显示_骨质
图片尺寸313x318
x线解剖图谱这里基本全了
图片尺寸500x516
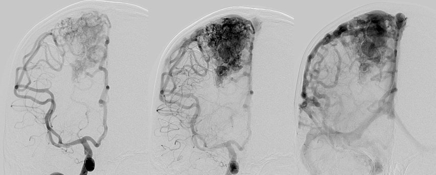
王东海丨多处多发微小an开or栓都不如七星大法
图片尺寸750x1000
洞姐美如画,而且最近被迫失业,希望拜博赞助她矫正牙齿(随便说说的 但
图片尺寸640x606
李小姐颈椎x线正位片,可见棘突序列不齐,有明显椎体旋转.
图片尺寸1080x1440
术后的正,侧位相.术后第二天复查头颅ct未见出血及脑梗.
图片尺寸1080x1008
后下前牙牙根61治疗后关节治疗前后对比61治疗后头颅侧位x光片
图片尺寸835x377
2012年11月29日颈椎管成形术前颈椎正侧位x线片,片子显示当时年龄是
图片尺寸1080x728
常规x线影像解剖大全
图片尺寸660x496
邓剑平教授专栏丨我和我的畸形故事九
图片尺寸853x343
头部x线正位片;c.头部ct三维重建证实分流系统连接断开.
图片尺寸990x394
卒中美学馆丨ais洞鉴前循环串联病变铂金支架取栓一例
图片尺寸1024x1024
4.头颅侧位片5.口腔ct及重建6.口腔ct模拟种植7.
图片尺寸850x563
牙齿矫正需要拍什么片?
图片尺寸2421x1108
男性脱发患者发送图文咨询时照片的要求原创
图片尺寸506x574
10种头部特殊摄影体位你会读片吗
图片尺寸1000x997
新发现一种茎突正位拍摄方法一次曝光成功你值得拥有
图片尺寸407x476