头颅缝隙的图片

为何孩子头颅畸形警惕狭颅症
图片尺寸598x413
"徒手整容"是你傻还是我傻?
图片尺寸1080x456
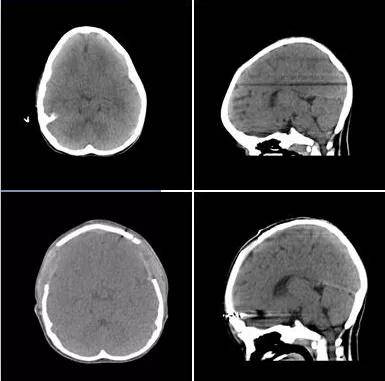
头颅ct可见额部脑外间隙增宽,额
图片尺寸616x444
罗生门!孩子头上缝四针 老师究竟打没打
图片尺寸449x589
专家在线丨宝宝头部有凹陷或凸出的缝是怎么回事?
图片尺寸750x680
新生儿颅骨婴儿时期的颅骨骨缝确实没有完全闭合存在缝隙,但是正常人
图片尺寸604x400
若某一骨缝过早闭合,势必限制了颅骨的生长,造成各式畸形头颅.
图片尺寸515x418
稳定有很宽的缝隙但由于患者颅骨骨缝发育不全并未完全闭合头颅双源ct
图片尺寸1080x953
泰达众将举球衣祝福受伤队友 谢维军头部缝5针(图)
图片尺寸690x690
成年人的颅骨虽然能看到缝隙,但多块骨骼间链接的严丝合缝,并没有缩小
图片尺寸900x515
上海九院韦敏 | 婴幼儿头型异常,家长需提高警惕颅缝早闭
图片尺寸948x319
为何孩子头颅畸形警惕狭颅症
图片尺寸447x255
颅脑缝隙过早关闭会有那些危害呢?听听专家讲解吧
图片尺寸385x381
经头颅ct三维重建,三维重建图像验证临床诊断无误,患儿的冠状缝早已经
图片尺寸371x150
颅脑缝隙过早关闭会有那些危害呢?听听专家讲解吧
图片尺寸645x412
额缝早闭:三角头畸形_颅脑先天畸形_相关疾病_介绍 - 好大夫在线
图片尺寸609x285
如果发现自己的宝宝的头颅长得有点歪,不正,千万不要麻痹大意,要想到
图片尺寸470x660
皇马大将头缝9针 满脸是血 四换球衣(图)
图片尺寸550x365
"医生说因为颅骨粉碎,脑部的组织会通过缝隙露出,可能要进行开颅手术.
图片尺寸1280x860
此时的小军面色苍白,血常规显示他高度贫血,经头颅ct检查,小军左侧颞
图片尺寸720x960