头颅x片

下颌角手术 术前有哪些准备工作?
图片尺寸2204x2764
收藏头颅平片阅片顺序
图片尺寸1024x1024
首先,你需要一张你矫正前检查拍摄过的头颅侧位x光片,在这张片子的
图片尺寸640x450
在给阿姨拍了个全身骨头的x光片后,阿姨和家人吓了一跳,张阿姨的头颅
图片尺寸480x640
收藏头颅平片阅片顺序
图片尺寸931x859
今晨打碎日本王者半张脸的狠角色又ko了一位高手
图片尺寸1080x1439
紧张| 又想起了被牙医支配的恐惧
图片尺寸640x606
父亲降价卖新房为女儿治脑癌遭冷遇 车已原价卖掉
图片尺寸600x392
大庆一18岁男孩钢筋穿脑10厘米生还(图)
图片尺寸500x375
如何判断自己的龅牙是骨性还是牙性
图片尺寸639x743
骨头够硬!叙利亚男子被ak爆头却大难不死,后脑颅骨牢牢卡死子弹
图片尺寸624x754
宝宝一般多大开始长牙出牙晚正常吗
图片尺寸635x637
术后为轩轩行头颅x片,见人工耳蜗电极漂亮地循着耳蜗的"轨迹"绕圈
图片尺寸1080x979
【头颅侧位片】那么牙片的辐射危害大吗?
图片尺寸564x534
一个小测试就能看出是不是凸凸嘴
图片尺寸475x260
x片.png
图片尺寸532x768
头颅x光片显示,钢筋完全穿透头颅.
图片尺寸800x600
一般而言,口腔x光片主要包括全景片以及头颅侧位片.二.
图片尺寸569x264
后下前牙牙根61治疗后关节治疗前后对比61治疗后头颅侧位x光片
图片尺寸835x377
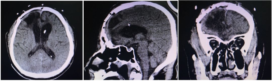
迈普神外之声丨peek材料在颅骨的精准修复
图片尺寸1080x322