奇静脉ct

轻松记住奇静脉半奇静脉副半奇静脉奇裂奇叶
图片尺寸640x480
病例报告奇静脉海绵状血管瘤一例
图片尺寸948x354
半奇静脉代替下腔静脉畸形
图片尺寸800x703
右上肺奇静脉叶
图片尺寸830x711
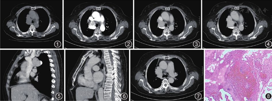
罕见后纵隔特发性奇静脉瘤一例
图片尺寸437x461
静脉期图像
图片尺寸2000x2667![【读片】奇静脉与半奇静脉扩张病例一例 [病例帖]](https://i.ecywang.com/upload/1/img1.baidu.com/it/u=1350191031,2619104307&fm=253&fmt=auto&app=138&f=JPEG?w=500&h=528)
【读片】奇静脉与半奇静脉扩张病例一例 [病例帖]
图片尺寸640x676
奇叶-奇静脉弓-胸膜分布-胸部ct断层 影像-肺窗(一) 解剖图片
图片尺寸1080x810
奇静脉azygos v. 24.
图片尺寸1058x938
渭南市第三医院ct&mri室简介
图片尺寸1588x1449
肺的解剖及分段 右肺动脉较长,经升主动脉和上腔静 脉后方,奇静脉弓
图片尺寸1080x810
ct可清晰显示肺内" c"形条状阴影, 为奇静脉弓.
图片尺寸1024x2048
下腔静脉与奇静脉延续
图片尺寸527x359
肺奇叶与奇静脉裂,你想知道的这里都有
图片尺寸1004x857
2017年2月24日东胜区人民医院ct室利用东软128层ct机开展下肢静脉造影
图片尺寸1080x1745
放射医学技术知识点12经奇静脉弓主肺动脉窗的横断层
图片尺寸1728x1080
胸部影像诊断图例丨体循环发育异常(奇静脉,腔静脉,主动脉及分支)
图片尺寸595x292
血管病变ct影像诊断(一)
图片尺寸2667x2000
半奇静脉代替下腔静脉畸形
图片尺寸800x660
vr像双下肢静脉曲张,双侧大隐静脉闭塞.
图片尺寸876x1776