女子宫 脱落

产后子宫脱垂3d动画演示
图片尺寸720x1280
女性子宫脱垂的五大症状
图片尺寸601x799
杨陵惠仁医院妇产科为广大子宫脱垂女性朋友排忧解难
图片尺寸1080x982
59岁女子连续工作12个小时,子宫竟然掉了出来!真实原因更心酸
图片尺寸1000x1227
🤰子宫脱垂的真相与应对💪
图片尺寸703x528
3张图子宫脱垂给你讲明白#科普健康知识 #身材管理 #女人
图片尺寸1080x1440
一张图了解子宫脱垂
图片尺寸1080x675
产后子宫脱垂,女性难言之隐!
图片尺寸540x960
子宫脱垂的三大诱因,女性一定要重视
图片尺寸1080x1440
干重体力活,会导致子宫脱垂加重?
图片尺寸2006x690
🌺子宫脱垂并不意味着生活的终结!🌺
图片尺寸1070x800
子宫脱垂,这事儿不少朋友可能都遇到过,尤其是生完娃之后,很多都会
图片尺寸690x513
子宫脱垂有哪些症状?
图片尺寸1242x1660
女性出现子宫脱垂,能靠锻炼提上去吗?
图片尺寸1080x1440
大众科普|一文带您了解"掉"下来的难言之隐
图片尺寸1080x715
女性出现子宫脱垂,应该怎么办,子宫托3d动画演示
图片尺寸1080x1440
日常艾灸案例分析之子宫脱垂
图片尺寸1024x866
子宫掉下来,还能自己回去吗?
图片尺寸608x810
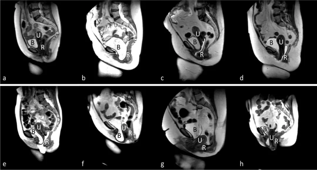
磁共振在女性盆腔脏器脱垂中的应用
图片尺寸1080x579
子宫脱垂来袭?这些症状需警惕!
图片尺寸1200x1600