女生白色分泌物 液体

about me 柠檬按摩膏用法详解
图片尺寸600x544
正常的女性白带是白色糊状或是鸡蛋清一下清澈粘稠的液体,在感染hpv后
图片尺寸700x523
女子地铁遭猥亵:发现自己衣服留白色液体(图)
图片尺寸550x742
男子向女孩短裙喷射不明乳白色液体乘客都说闻到一股腥臭味
图片尺寸640x853
白带是由许多组织分泌的液体共同组成的,它包括尿道旁腺,前庭大腺
图片尺寸390x520
子宫内膜等腺体分泌的分泌物组
图片尺寸352x258
白色液体,它是由前庭大腺,子宫颈腺体,子宫内膜的分泌物和阴道粘膜的
图片尺寸500x501
白带在医学上被称为阴道分泌物,正常情况下是它是白色,偶尔呈淡黄色
图片尺寸190x135
男人液体的强悍作用
图片尺寸225x240
尿道口外排白色液体有以下原因
图片尺寸400x225
宫颈癌不会悄无声息身体若有两个异常建议尽早做筛查
图片尺寸547x317
拥抱,爱抚)的刺激下会分泌大量的"爱液",这种液体主要由阴道粘膜渗出
图片尺寸660x418
女孩去修车后,发现车内后坐内衣出现"斑污",4s店:赔2万够不够?
图片尺寸700x424
质地没什么区别,还是贵妇感很强的润泽乳白液体.
图片尺寸660x495
76白色分泌物"五颜六色"的分泌物,暗藏啥问题?
图片尺寸900x600
御妇堂提醒:提防癌_阴道_时候_雌激素
图片尺寸827x670
画点稍微h的画面流动的白色粘稠液体画法
图片尺寸492x705
后怕女子乘太原814路公交下车发现裙子上有白色的不明液体
图片尺寸614x362
正常情况女性的白带是纯白色的半透明液体,而且是没有任何的气味的
图片尺寸1080x1336
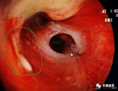
我们对此进行支气管镜检查,镜下可见右肺中叶支气管黏膜有白色分泌物
图片尺寸406x314