如何看腰椎ct片图解

腰椎ct诊断ppt
图片尺寸1080x810
腰椎间盘突出ct诊断
图片尺寸920x1303
在闺蜜的陪同下去了医院检查,拍了ct,结果出来检查得知腰椎脱出伴钙化
图片尺寸1080x1316
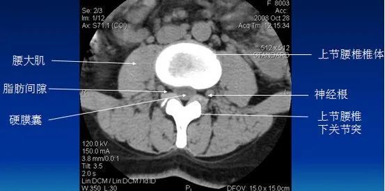
5分钟掌握腰椎ct诊断技巧!-淄博莲池骨科医院
图片尺寸720x1257
收藏贴颈椎腰椎ct常见病变你都了解吗
图片尺寸648x576
腰椎ct诊断ppt
图片尺寸1080x810
腰椎ct诊断ppt
图片尺寸1080x810
腰椎间盘突出症诊治ppt课件
图片尺寸1080x810
ct图像测量在腰椎管狭窄症诊断中的应用_于智莹.pdf
图片尺寸800x1132
基础入门|腰椎ct诊断:椎间盘突出,椎管狭窄,退行性改变
图片尺寸553x275
腰椎核磁显示腰间盘突出(l4-5)腰椎ct显示腰椎间盘突出(l4-5)保守治疗
图片尺寸640x386
腰椎间盘突出症的微创(通道)治疗 祁东县人民医院骨一科
图片尺寸1198x1598
腰椎间盘突出可以选择做哪些检查做了ct还需要做磁共振吗
图片尺寸500x539
腰椎ct扫描层面及常见疾病的诊断附真实病例
图片尺寸960x720
腰椎间盘突出ct片子怎么看教你看腰椎间盘突出ct影像学表现
图片尺寸640x385
写美篇腰椎ct:腰4-5椎间盘向后突出约6mm
图片尺寸2000x2226
人体腰椎ct图谱医学影像图
图片尺寸344x516
腰椎ct扫描层面及常见疾病的诊断(附真实病例)
图片尺寸960x720
无下肢症状,当时做了ct显示腰椎情况如图
图片尺寸1198x1598
腰椎ct
图片尺寸2200x1650