婴儿牙釉质脱落

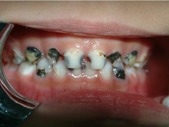
一岁宝宝牙釉质掉完了
图片尺寸1025x536
医生你好宝宝22个月今天回家我发现他的一只大门牙脱落了一
图片尺寸768x1024
两周岁半的宝宝牙齿的牙釉质有损坏,这是龋齿了吗?还有的救吗?
图片尺寸780x1040
偷拍的,两岁小孩上门牙牙釉质碰掉了一块,牙本质外露,外露部分是软的
图片尺寸592x1052
满意回答 孩子的这种情况考虑是考虑是牙釉质发育不全导致的,建议遵
图片尺寸816x612
孩子牙釉质脱落,需要补钙吗?
图片尺寸1000x562
孩子牙釉质缺失,麻麻的焦虑症? - 知乎
图片尺寸1903x1513
您好宝宝一岁上门牙出现黄斑中间黄斑两边出现牙釉质脱落的洞
图片尺寸575x1024
孩子的牙齿竟然是这样一步一步蛀空的_乳牙_研究_牙釉质
图片尺寸1192x796
两周岁半的宝宝牙齿的牙釉质有损坏,这是龋齿了吗?还有的救吗?
图片尺寸780x1040
宝宝一周岁牙齿怎么了,该怎么办?
图片尺寸768x1024
请问宝宝牙齿这样是牙釉质发育不良还是蛀牙?
图片尺寸240x320
宝贝一岁三个月,牙齿发黄坑坑洼洼的,不知道有什么好方法能让牙齿变好
图片尺寸540x960
如果饮食含糖高而少矿物质,进餐时牙釉质表面的脱矿情况就会非常严重
图片尺寸550x350
牙釉质发育不完全是怎么变成这样的?换牙会好吗?四岁半孩子? - 知乎
图片尺寸552x416
牙釉质外面掉了一块,这是什么情况.该怎么修复呢?在线等
图片尺寸780x1040
4颗乳牙全坏,3次束缚治疗,我犯过的错警示大家:宝宝龋齿别轻视
图片尺寸640x480
小喔喔牙釉质脱落,实际比照片更糟糕
图片尺寸640x360
宝宝牙齿长白斑可能是乳牙脱矿
图片尺寸1080x983
在牙齿发育的过程中,如果长时间接触浓度较高的氟,会导致牙釉质发育不
图片尺寸548x360