婴幼儿牙胚

吸血鬼11周小宝宝在一夜之间长出一颗锋利牙齿吓坏父母
图片尺寸700x703
从宝宝出牙时间早晚,看宝宝的发育状态,差距真的很大吗?
图片尺寸2000x1400
9个月宝宝没长牙,宝妈被"问责",宝宝何时"冒牙尖"才正常?
图片尺寸604x452
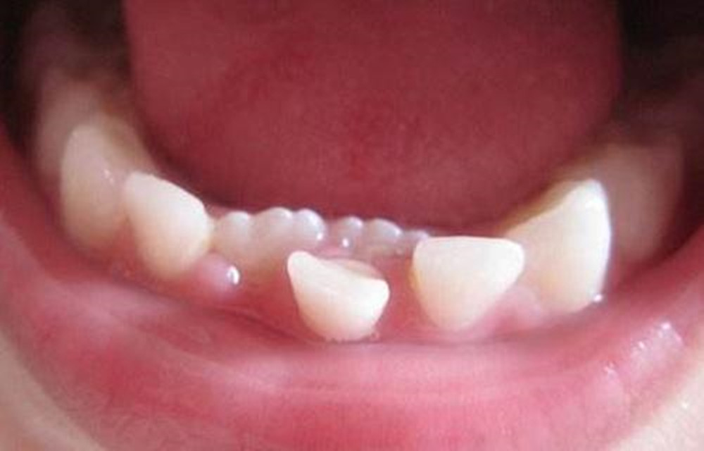
宝宝十个月零9天,牙板这样是不是要长牙了
图片尺寸1024x1024
宝宝牙床软怎么办(宝宝牙床软怎么办图片)
图片尺寸1080x810
这个宝宝一出生就长牙怎么回事
图片尺寸700x525
新生儿牙床是这样的吗? - 婴幼育儿 - 得意生活-武汉生活消费社区
图片尺寸600x536
1:当代小孩营养好,牙胚的发育较以前早,往往恒牙长出来了乳牙都还没有
图片尺寸451x317
6710个孩子7个蛀牙这个误区千万不能有
图片尺寸643x590
牙齿里面这白色的是什么,需要看医生吗?宝宝两岁了.
图片尺寸719x604
上牙的里边又长了一个硬硬的白色的东西.请问有人知道这是什么吗?
图片尺寸600x802
一个六岁的男孩有他的第一颗婴儿牙齿的照片故事下颌牙龈大片
图片尺寸700x467
有一种先天不长牙叫外胚叶发育不全_儿童牙病_儿童牙病相关疾病 - 好
图片尺寸1876x1216
做了窝沟封闭牙齿还会蛀?5句话让你知道为什么!
图片尺寸591x521
长牙牙不是在牙肉上面冒出来的吗? ================ 手动分割
图片尺寸1280x1280
乳牙坏掉,恒牙萌出也会受影响,如恒牙胚发育错位
图片尺寸1000x640
乳牙图片_乳牙高清图片_全景视觉
图片尺寸390x260
第三种常见情况是由于恒牙牙胚位置远离乳牙牙根
图片尺寸487x220
婴儿中的牙齿婴儿三个牙齿在健康的牙齿牙齿牙齿牙齿牙齿牙齿牙齿
图片尺寸700x714
原创为啥越来越多的孩子长双排牙原因有3种家长要注意预防
图片尺寸952x556