嫌色细胞

恶性肿瘤:嫌色细胞型肾细胞癌解剖病理图谱
图片尺寸661x496
右肾肿瘤 嫌色细胞癌讨论病例【中华病理gu学组肾脏病理交流群病例61
图片尺寸3968x2976
嫌色细胞肾细胞癌讨论病例中华病理gu学组肾脏病理交流群病例72
图片尺寸2448x2448
考虑嫌色细胞瘤讨论病例中华病理gu学组肾脏病理交流群病例101
图片尺寸1920x1080
嫌色细胞肾细胞癌讨论病例中华病理gu学组肾脏病理交流群病例72
图片尺寸2448x2448
图95垂体嫌色细胞腺瘤弥漫型he染色低倍
图片尺寸1375x964
左肾肿瘤 嫌色细胞癌讨论病例【中华病理gu学组肾脏病理交流群病例54
图片尺寸3968x2976
考虑嫌色细胞瘤?讨论病例【中华病理gu学组肾脏病理交流群病例101】
图片尺寸1920x1080
嫌色细胞肾细胞癌讨论病例中华病理gu学组肾脏病理交流群病例72
图片尺寸2448x2448
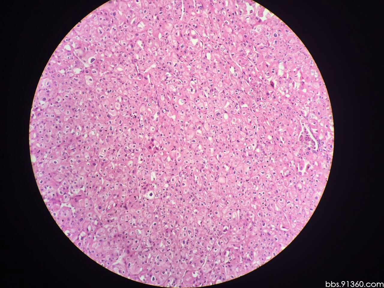
嫌色细胞肾细胞癌讨论2016.3.18【91360泌尿沙龙病例整理20】
图片尺寸1280x960
左肾肿瘤 嫌色细胞癌讨论病例【中华病理gu学组肾脏病理交流群病例54
图片尺寸3968x2976
恶性肿瘤:嫌色细胞型肾细胞癌解剖病理图谱
图片尺寸661x493
郑州大学附属医院泌尿外科乔保平靶向治疗舒尼替尼肾细胞癌
图片尺寸661x496
肾肿瘤嫌色细胞癌讨论病例中华病理gu学组肾脏病理交流群病例20
图片尺寸300x300
胸4椎体肿瘤 外院肾切除诊断嫌色细胞癌讨论病例【中华病理gu学组肾脏
图片尺寸1920x1080
肾肿瘤嫌色细胞癌讨论病例中华病理gu学组肾脏病理交流群病例20
图片尺寸300x300
肾脏,嫌色细胞癌?2017.4.24【91360泌尿沙龙整理123】
图片尺寸1280x960
恶性肿瘤:嫌色细胞型肾细胞癌解剖病理图谱
图片尺寸661x496
嫌色细胞肾细胞癌讨论病例中华病理gu学组肾脏病理交流群病例72
图片尺寸2448x2448
胸4椎体肿瘤 外院肾切除诊断嫌色细胞癌讨论病例【中华病理gu学组肾脏
图片尺寸1440x1080