嫌色细胞癌

(右肾)嫌色细胞癌
图片尺寸479x4616
肾嫌色细胞癌影像诊断
图片尺寸1080x608
左肾肿瘤 嫌色细胞癌讨论病例【中华病理gu学组肾脏病理交流群病例54
图片尺寸3968x2976
左肾肿瘤 嫌色细胞癌讨论病例【中华病理gu学组肾脏病理交流群病例54
图片尺寸3968x2976
chromophobe rcc肾嫌色细胞癌papillary rcc乳头状肾细胞癌clear cell
图片尺寸960x720
恶性肿瘤:嫌色细胞型肾细胞癌解剖病理图谱
图片尺寸661x493
右肾肿瘤 嫌色细胞癌讨论病例【中华病理gu学组肾脏病理交流群病例61
图片尺寸3968x2976
恶性肿瘤:嫌色细胞型肾细胞癌解剖病理图谱
图片尺寸574x428
色素微囊性嫌色细胞肾细胞癌
图片尺寸300x240
嫌色性肾细胞癌
图片尺寸798x599
(左肾肿瘤)嫌色细胞癌
图片尺寸1080x869
嫌色性肾细胞癌
图片尺寸796x595
胸4椎体肿瘤 外院肾切除诊断嫌色细胞癌讨论病例【中华病理gu学组肾脏
图片尺寸1920x1080
胸4椎体肿瘤 外院肾切除诊断嫌色细胞癌讨论病例【中华病理gu学组肾脏
图片尺寸1440x1080
胸4椎体肿瘤 外院肾切除诊断嫌色细胞癌讨论病例【中华病理gu学组肾脏
图片尺寸1920x1080
图95垂体嫌色细胞腺瘤弥漫型he染色低倍
图片尺寸1375x964
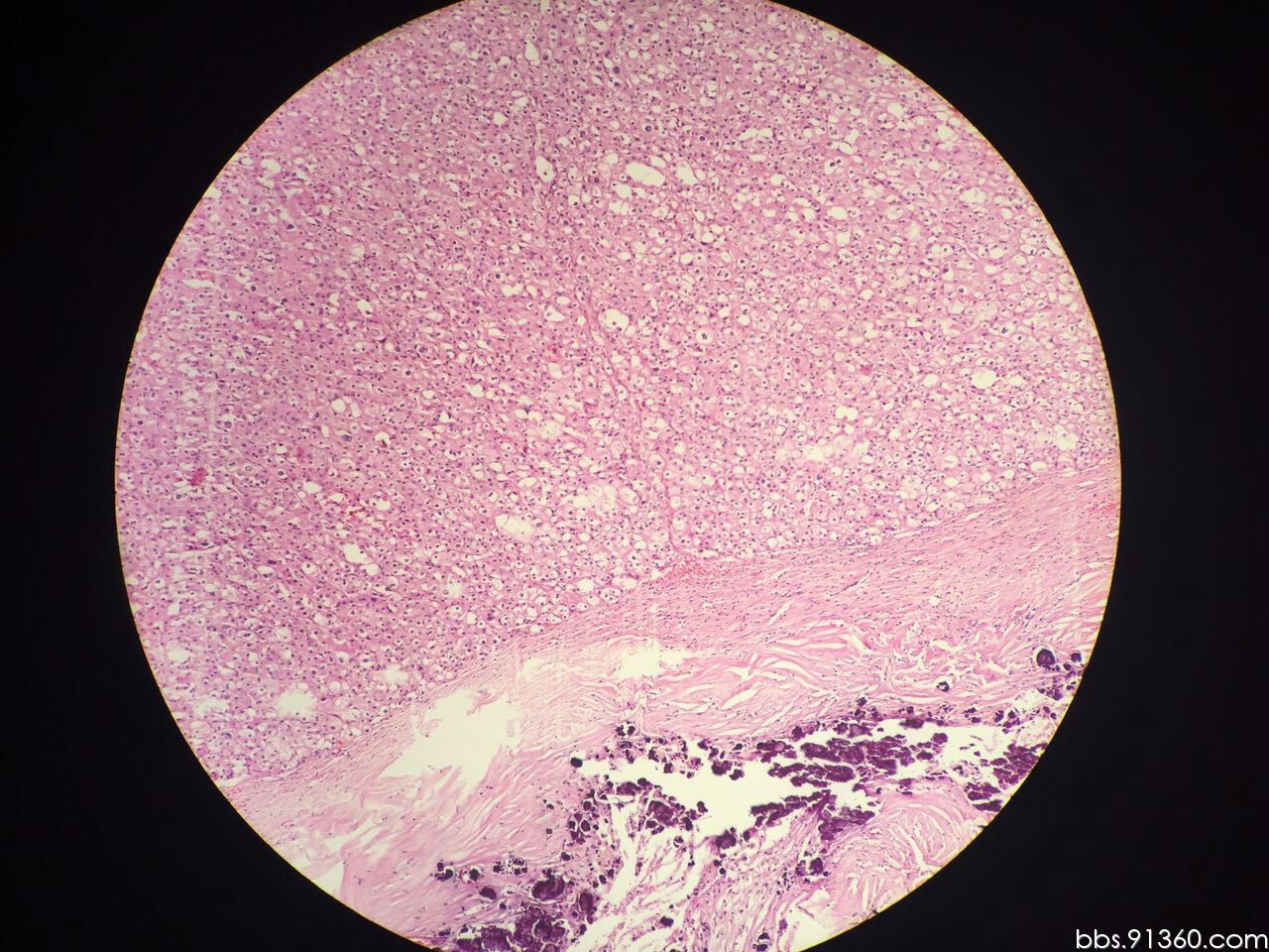
嫌色细胞肾细胞癌讨论2016.3.18【91360泌尿沙龙病例整理20】
图片尺寸1280x960
肾肿瘤嫌色细胞癌讨论病例中华病理gu学组肾脏病理交流群病例20
图片尺寸300x300
透明rcc嫌色细胞癌讨论病例中华病理gu学组肾脏病理交流群病例11
图片尺寸1431x1080
肾嫌色细胞癌16例的临床特点与诊治分析_参考网
图片尺寸900x2052