子宫切片图片

【求助】大鼠子宫切片解读
图片尺寸1500x1125
组织学与胚胎学(组胚)切片实验实习五(共五)ppt
图片尺寸1080x810
兔子宫整体切片 生物切片 组织学与胚胎学 生殖系统 显微镜玻片
图片尺寸500x438
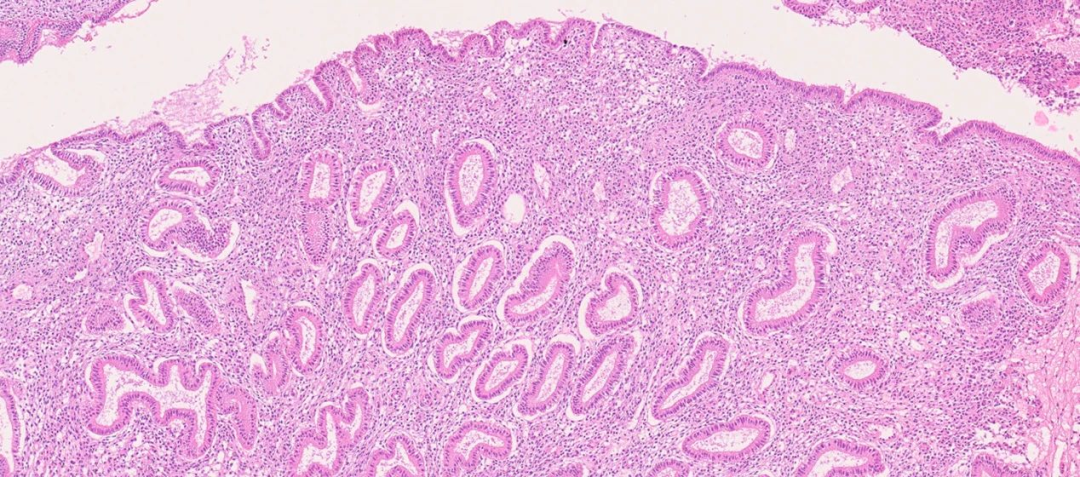
新疆职院教材 子宫腺 子宫腔 子宫内膜 肌 层 外膜
图片尺寸1080x810
切开的子宫
图片尺寸556x534
【求助】大鼠子宫切片
图片尺寸1360x1024
在经过子宫镜检查后,是正常平整的子宫内膜,是不需要切片的
图片尺寸1150x722
医学生殖器官组织卵巢切片子宫颈切片胎盘切片高教标准显微玻片
图片尺寸1038x656
组织学与胚胎学切片图 ppt课件
图片尺寸1080x810
1518241219.png
图片尺寸4032x3024
he切片:病史介绍:女,52岁,宫颈糜烂就诊,活检;送检碎组织一堆,总v:1.
图片尺寸1077x633
子宫内膜非典型增生讨论病例【中美加子宫内膜病理交流群病例250】
图片尺寸4032x3024
分泌期子宫腺 增生期子宫腺
图片尺寸1080x810
图中是子宫颈与阴道连接部的切片图观察上皮组织的形态特点下列哪一项
图片尺寸890x527
英国自然杂志健康子宫内膜也会突变致癌8类人做好早期筛查
图片尺寸1080x477
1518241195.png
图片尺寸4032x3024
病理沙龙 | 宫颈微浸润宫颈癌?
图片尺寸640x1138
宫颈锥切组织 - 专科病理>>女性生殖 - 华夏病理网
图片尺寸965x724
he切片:病史介绍:女,52岁,发现宫颈病变2周,宫颈leep术;leep锥切组织
图片尺寸1073x769![123是什么123是什么 [图]a,1分泌期 2子宫腺 3肌层b,1增生期 2子.](https://i.ecywang.com/upload/1/img0.baidu.com/it/u=3566463967,2727425342&fm=253&fmt=auto&app=138&f=JPEG?w=666&h=500)
123是什么123是什么 [图]a,1分泌期 2子宫腺 3肌层b,1增生期 2子.
图片尺寸890x668