子宫卵巢b超

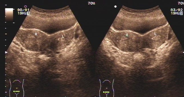
b超专家叶风主任仔细检查后说道:"患者存在左侧卵巢内混合回声,首先
图片尺寸1080x857
而且b超显示小张双侧卵巢体积偏小,回声偏实.最终
图片尺寸1080x535
子宫_卵巢_内膜
图片尺寸1080x530
卵巢早衰治疗新突破!干细胞疗法让闭经女性重获新生!
图片尺寸407x768
藏在超声报告里的秘密:解码卵巢健康,告别焦虑迷雾!
图片尺寸846x512
蝶形子宫
图片尺寸647x343
子宫_卵巢_内膜
图片尺寸1080x730
像打开了窗户一样,让超声波畅通无阻的穿过,直接到达子宫和卵巢,所以
图片尺寸1080x546
卵巢早衰治疗新突破!干细胞疗法让闭经女性重获新生!
图片尺寸391x743
医生说从卵泡发育和子宫内膜的厚度来看,她的卵巢功能非常棒,满足怀孕
图片尺寸1080x1439
尤其是在治疗卵巢巧克力囊
图片尺寸629x520
双侧多囊卵巢
图片尺寸960x720
生完孩子月经淋漓8,9天,妇科b超查出子宫长了这个!
图片尺寸865x486
子宫卵巢超声常规表现女性生殖系统生理子宫及附件的解剖与生理
图片尺寸527x503
西安市第一医院成功救治高龄危重卵巢囊肿蒂扭转患者
图片尺寸640x320
卵巢子宫内膜异位囊肿的发生可能与经血逆流,淋巴及静脉扩散等因素
图片尺寸404x416
求子遭遇"拦路虎",试管助孕圆梦
图片尺寸525x443
卵巢库肯勃瘤
图片尺寸727x417
董文广教授:微创介入技术引领卵巢癌治疗进入"保宫时代"!
图片尺寸1080x1304
诊断_子宫_卵巢
图片尺寸610x313