子宫肉瘤 超声

超声下的子宫肌瘤是什么样子的
图片尺寸1988x1324
子宫内膜息肉典型图像 - 超声医学讨论版 - 爱爱医医学论坛 - 爱爱医
图片尺寸768x576
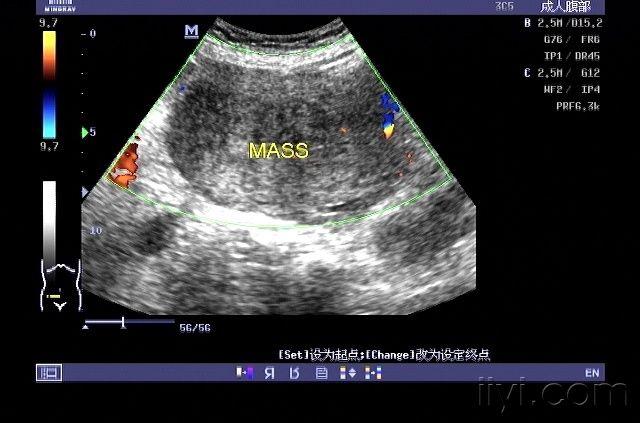
术中考虑子宫肉瘤. - 超声医学讨论版 - 爱爱医医学论坛
图片尺寸640x423
子宫肌瘤超声消融治疗效果图(三) _子宫肌瘤_治疗方法_治疗方式 - 好
图片尺寸690x517
超声引导下子宫肌瘤射频消融治疗术
图片尺寸1920x1080
子宫肌瘤肉瘤样变声像图
图片尺寸2667x2000
子宫肌瘤超声消融治疗效果图(三) _子宫肌瘤_治疗方法_治疗方式 - 好
图片尺寸690x517
超声子宫肌瘤
图片尺寸1280x960
我科成功完成腹腔镜下多发子宫肌瘤(20余枚)剔除术,术后患者复查子宫
图片尺寸4032x3024
6cm低回声瘤结节,内膜厚0.8cm,超声提示子宫肌瘤,怎么办应该?怎么
图片尺寸780x1040
超声:子宫肌瘤 - 知乎
图片尺寸1280x960
女,25岁,不孕检查发现,子宫内膜息肉 - 超声医学讨论版 - 爱爱医医学
图片尺寸3264x1840
其它 漯河市中心医院超声诊断科业务学习 写美篇子宫肌瘤变性 (1)肌瘤
图片尺寸1080x1080
超声下的子宫肌瘤是什么样子的
图片尺寸1984x1672
墨江中西医结合医院成功开展宫腔镜下"黏膜下子宫肌瘤电切除术"
图片尺寸2000x2666
超声下的子宫肌瘤是什么样子的
图片尺寸1767x1281
术中考虑子宫肉瘤. - 超声医学讨论版 - 爱爱医医学论坛
图片尺寸640x413
超声下的子宫肌瘤是什么样子的
图片尺寸2658x2206
子宫高级别子宫内膜间质肉瘤iiib期子宫平滑肌瘤慢性子宫颈炎
图片尺寸680x433
典型病例分享:宫腔镜下粘膜下子宫肌瘤切除术
图片尺寸2133x1200