室管膜瘤图片

病例10:左侧脑室内-室管膜下巨细胞瘤
图片尺寸1156x634
颅内室管膜瘤的影像诊断要点
图片尺寸631x462
颈5-7髓内室管膜瘤一例 - 好大夫在线
图片尺寸2250x2250
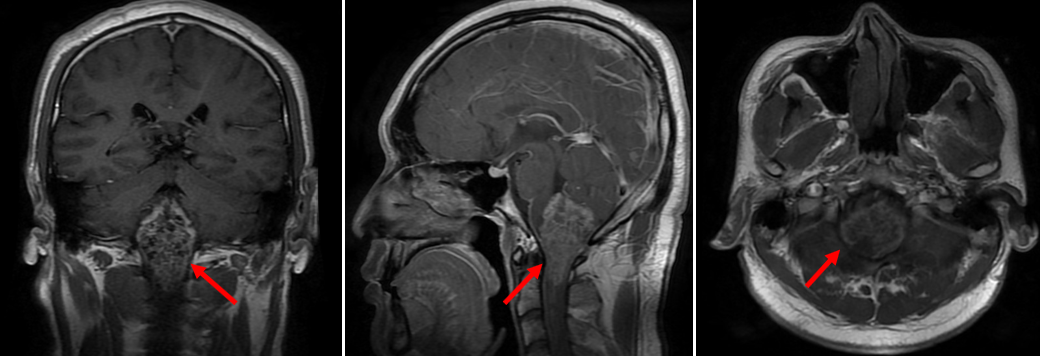
脑室内室管膜瘤的影像诊断及鉴别丨影像天地
图片尺寸600x600
间变性室管膜瘤一例
图片尺寸1080x461
加拿大jamestrutka教授儿童室管膜瘤的治疗及预后因素
图片尺寸716x951
宋飞教授第四脑室内巨大室管膜瘤手术切除一例
图片尺寸1080x442
典型病例颈56脊髓内室管膜瘤
图片尺寸732x380
脊髓室管膜瘤能治好吗详细案例解读
图片尺寸743x558
四脑室巨大室管膜瘤手术治疗_室管膜瘤 - 好大夫在线
图片尺寸1040x356
颈髓髓内室管膜瘤的手术治疗_室管膜瘤_室管膜瘤治疗方式 - 好大夫
图片尺寸794x804
室管膜下瘤神经系统影像诊断
图片尺寸644x1020
脊髓肿瘤知识问答----高难室管膜瘤
图片尺寸610x343
髓内室管膜瘤的治疗_室管膜瘤_室管膜瘤治疗方式 - 好大夫在线
图片尺寸749x742
幕上室管膜瘤3
图片尺寸960x720
精选病例(颈3-5髓内肿瘤——室管膜瘤)_室管膜瘤_室管膜瘤治疗方式
图片尺寸1276x1702
三博神七周刊9第四脑室室管膜瘤的影像特点手术及解剖
图片尺寸1080x781
超级巨大脑室内肿瘤室管膜瘤切除一例直径88cm
图片尺寸1600x1113
侧脑室巨大室管膜瘤15年诊治历程和心得 - 好大夫在线
图片尺寸558x562
室管膜瘤切除
图片尺寸930x633