室管膜瘤病理

黏液乳头状室管膜瘤一例神经病理系列十四浙二神外周刊第352期
图片尺寸1080x709
伴zftarela融合阳性的幕上室管膜瘤一例神经病理系列八浙二神外周刊第
图片尺寸1080x964
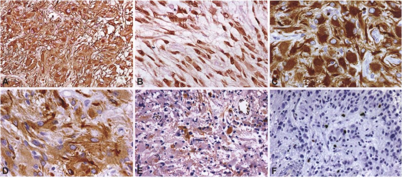
病例分享黏液乳头状室管膜瘤一例神经病理系列十四浙二神外周刊第352
图片尺寸1080x764
病例分享黏液乳头状室管膜瘤一例神经病理系列十四浙二神外周刊第352
图片尺寸1080x1227
伴zftarela融合阳性的幕上室管膜瘤一例神经病理系列八浙二神外周刊第
图片尺寸1080x1140
黏液乳头状室管膜瘤一例神经病理系列十四浙二神外周刊第352期
图片尺寸1080x1227
who cns 5th(2021)室管膜肿瘤(三)-资讯频道-华夏病理网
图片尺寸563x205
图5. 病理诊断:(右侧桥小脑角)室管膜瘤,who ii 级.
图片尺寸614x460
室管膜瘤伴脂肪瘤分化的临床病理分析
图片尺寸567x850
室管膜下瘤1例报告
图片尺寸491x358
术后病理报告.jpg
图片尺寸1600x978
间变性室管膜瘤
图片尺寸650x488
脑实质及侧脑室的室管膜下瘤临床病理
图片尺寸644x452
室管膜下巨细胞星形细胞瘤的临床病理学特征_医学界-助力医生临床决策
图片尺寸801x355
who cns 5th(2021)室管膜肿瘤(二)-资讯频道-华夏病理网
图片尺寸561x423
手术切除病理显示为who ii级室管膜瘤.
图片尺寸655x717
he染色,低倍-中枢神经系统肿瘤诊断病理-医学
图片尺寸1369x945
术后病理回报提示为"粘液型室管膜瘤,who i级"(图3).病理结果图2.
图片尺寸940x710
creutzfield-jacobdisease(cjd)属于()
图片尺寸443x333
cns讲谈社脊柱室管膜瘤新分子亚型
图片尺寸1080x1366