室间隔膜部瘤

得了室间隔膜部瘤不用怕
图片尺寸500x412
室间隔膜部瘤未见明显分流报不报先天性心脏病室间隔缺损
图片尺寸2933x2054
室间隔膜部瘤未见明显分流报不报先天性心脏病室间隔缺损
图片尺寸2703x2857![【读片】典型的室间隔膜部缺损并膜部瘤形成 [病例帖]](https://i.ecywang.com/upload/1/img2.baidu.com/it/u=1997914950,677200876&fm=253&fmt=auto&app=138&f=JPEG?w=636&h=432)
【读片】典型的室间隔膜部缺损并膜部瘤形成 [病例帖]
图片尺寸636x432![【读片】典型的室间隔膜部缺损并膜部瘤形成 [病例帖]](https://i.ecywang.com/upload/1/img1.baidu.com/it/u=899936741,1366906331&fm=253&fmt=auto&app=138&f=JPEG?w=636&h=432)
【读片】典型的室间隔膜部缺损并膜部瘤形成 [病例帖]
图片尺寸636x432
先心---室缺(膜部间隔瘤型)前后术后对比
图片尺寸664x498
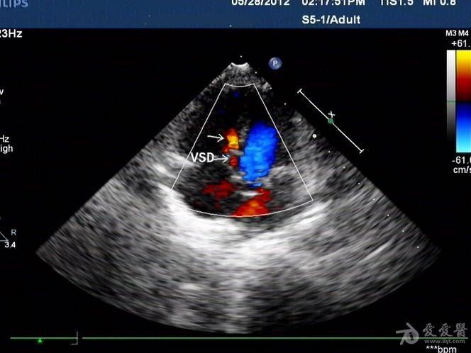
室间隔膜部瘤的超声心动图诊断
图片尺寸862x694
是否为室缺膜部瘤
图片尺寸3024x4032
产前超声胎儿室间隔膜部瘤和肌部瘤
图片尺寸640x559
室间隔膜部瘤的超声心动图诊断_血流_左室_主动脉
图片尺寸664x597
室间隔膜部瘤有真性(先天性)和假性(后天性)两类.
图片尺寸914x638
室间隔缺损并膜部瘤形成
图片尺寸768x576
第40次学习打卡.#超声影像 #打卡学习 #室间隔膜部瘤 - 抖音
图片尺寸1440x1920
产前超声:胎儿室间隔膜部瘤和肌部瘤
图片尺寸640x480
宝宝发现室间隔缺损膜部瘤该怎么办?
图片尺寸1280x1706
真性室壁瘤又分为急性和慢性.
图片尺寸1080x1440
是否为室缺膜部瘤
图片尺寸3024x4032
产前超声:胎儿室间隔膜部瘤和肌部瘤
图片尺寸640x480
宝宝发现室间隔缺损膜部瘤该怎么办?
图片尺寸960x1280
室间隔缺损并膜部瘤 这算严重吗?建议手术吗?
图片尺寸960x1280