宫腔积脓

宫腔镜所见宫腔积脓
图片尺寸1280x720
宫腔积脓
图片尺寸300x298![自发宫腔积脓并穿孔 [病例帖]](https://i.ecywang.com/upload/1/img1.baidu.com/it/u=2860867309,1069961744&fm=253&fmt=auto&app=138&f=JPEG?w=375&h=500)
自发宫腔积脓并穿孔 [病例帖]
图片尺寸640x853
宫腔积脓致子宫穿孔 - 好大夫在线
图片尺寸852x1136
宫腔积脓致子宫穿孔 - 好大夫在线
图片尺寸852x1136
患者83岁.宫腔积脓
图片尺寸1079x1439
是积液流出来的吗?
图片尺寸768x1024
宫腔积脓的介绍
图片尺寸450x295
【讨论】子宫蓄脓新图,胆小友友慎入,可以保存下来警告不绝.
图片尺寸1080x2337
后立即予以抗感染,降低体温等对症治疗,并给予宫腔积脓抽吸和置管引流
图片尺寸2400x1800
宫腔积脓ppt
图片尺寸340x512
宫腔积脓课件ppt
图片尺寸920x517
老年宫腔积脓 - 妇产专业讨论版 -丁香园论坛
图片尺寸326x580
超声诊断老年妇女宫腔积脓1例.pdf
图片尺寸800x1158
前几天看病拍的几张照片,跟大家分享一下!
图片尺寸3264x2448
红蓝光来帮忙!_治疗_红光_症状
图片尺寸638x500
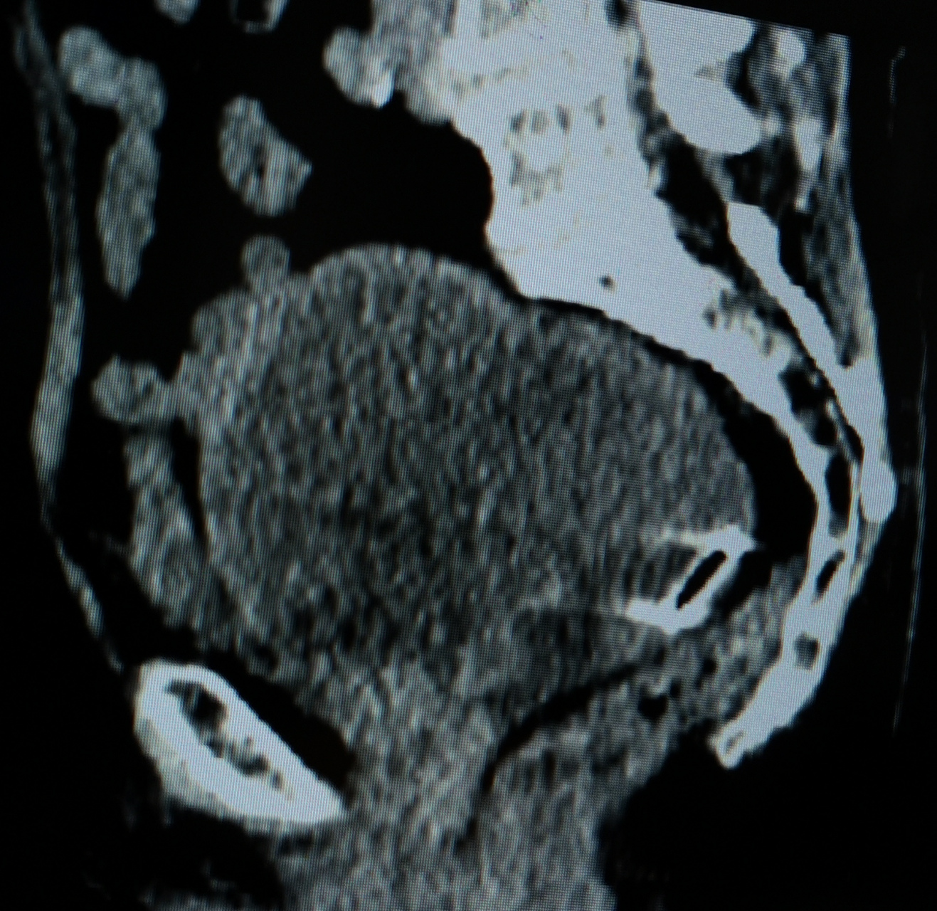
宫腔大量积液,积脓 老年女性,75岁,下腹痛做盆腔ct,子宫增大呈球形
图片尺寸1317x1280
超声体现1,子宫增大,内膜增厚2,宫腔积脓时可呈现无回声暗区伴粗大光
图片尺寸494x634
宝妈们,帮忙看一下这是怎麼了?怎麼会这样呢?我一点感觉都没有
图片尺寸400x400
宫腔积脓ppt下载
图片尺寸806x1576