宫颈萎缩图片

宫颈疾病示意图图片
图片尺寸691x987
年里,宫颈癌61及以69妇科61病疾69的不断升高……女性的生6
图片尺寸1080x1440
子宫有萎缩现象能怀孕吗.jpg
图片尺寸640x480
子宫萎缩怎么办
图片尺寸640x480
而对老年人来说,难度要大一些,因为检查暴露困难一些,宫颈萎缩,阴道镜
图片尺寸640x435
宫颈也会萎缩变硬 , 宫口变紧 , 宫颈管狭窄粘连 , 甚至宫颈口呈闭合
图片尺寸400x211
女性每次同房后4大状况频发,可能是宫颈病变的前兆
图片尺寸640x683
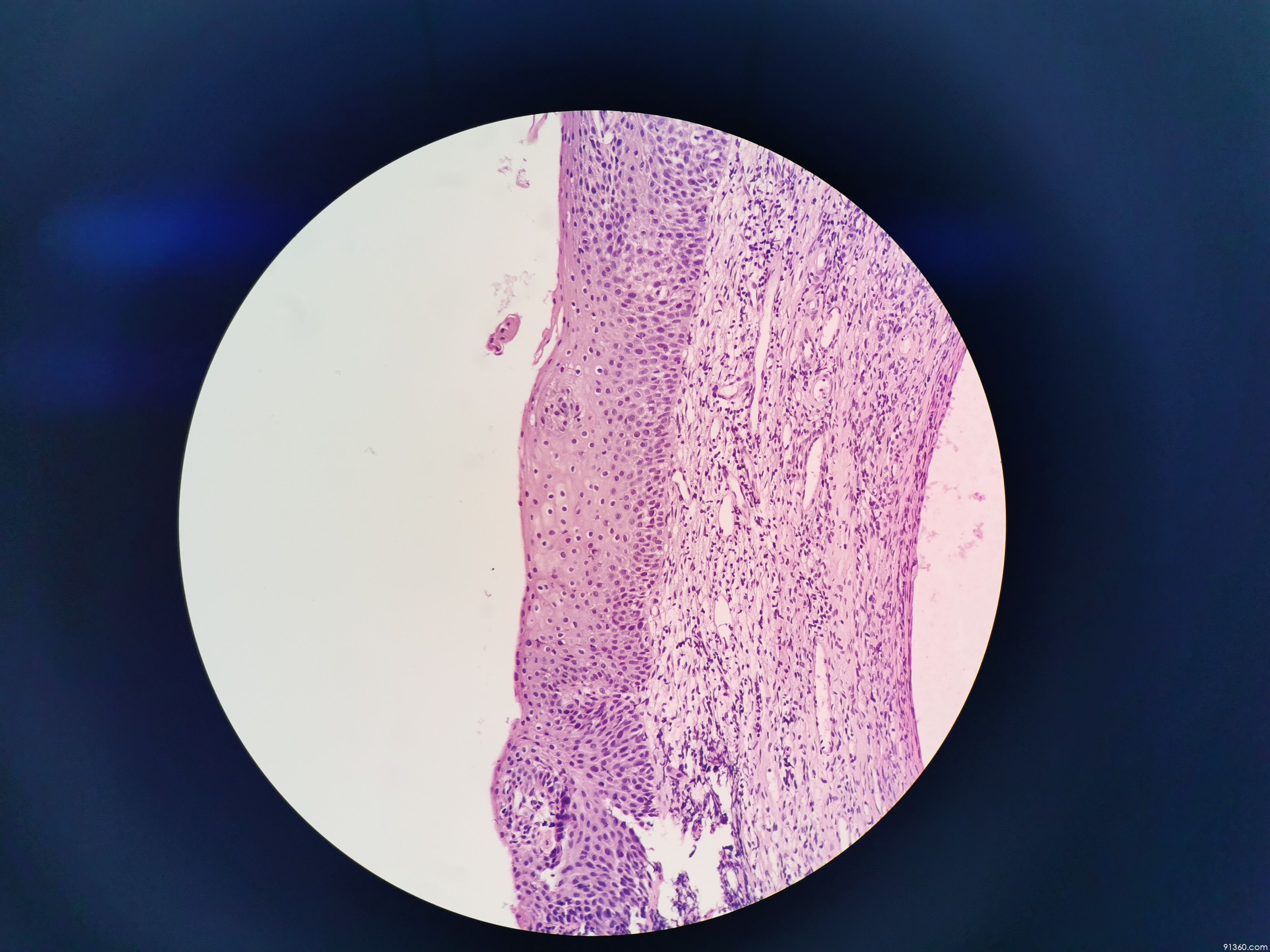
宫颈赘生物:萎缩,低级别?【中美加宫颈病理交流群病例1360】
图片尺寸3648x2736
宫颈糜烂是否需要治疗是否会癌变区三医院宫颈专科门诊为您解忧
图片尺寸640x256
子宫脱垂可分为三个等级根据宫颈和宫体脱出阴道口的程度沿着阴道的
图片尺寸1005x1789
子宫萎缩能做供借卵试管婴儿吗看完你就明白了
图片尺寸935x625
萎缩性阴道炎是由于雌激素水平低下,阴道内环境抵抗力减弱,加之上皮
图片尺寸660x776
慢性宫颈炎分类图片
图片尺寸235x204
宫颈癌手术后复发三大症状
图片尺寸282x185
多图示例:阴道镜下6种异常宫颈图像的解读,值得收藏!
图片尺寸1056x830
治疗_宫颈_患者
图片尺寸595x283
由于卵巢功能减退,体内雌激素水平下降致使阴道自洁作用减弱,宫颈萎缩
图片尺寸383x233
宫颈长疣体是不是病变
图片尺寸696x431
宫颈赘生物:萎缩,低级别?【中美加宫颈病理交流群病例1360】
图片尺寸3648x2736
宫颈高级别?萎缩?【中美加宫颈病理交流群病例1271】
图片尺寸3648x2736