寄生虫 x光

一只6000寄生虫!告诉孩子这种东西千万别碰!严重可致死
图片尺寸619x778
密恐慎入!由福寿螺想到看过的寄生虫病人的影像片
图片尺寸600x600
杭州市一名55岁男子食用酸菜鱼后惹寄生虫 半个肝脏被掏空
图片尺寸608x434
病案肺吸虫感染似肺癌复发
图片尺寸396x418
包虫病的影像学特点
图片尺寸1278x720
体内寄生虫卵图在网上疯传 专家:小龙虾一定要弄熟
图片尺寸550x559
堆积着排泄物和寄生虫,小龙虾的头是最脏的地方,文中称:给彻底刷屏了!
图片尺寸581x312
急腹症之寄生虫感染:这些典型影像表现你得一眼认出
图片尺寸550x520
朋友圈吃小龙虾全身寄生虫是真是假?
图片尺寸575x907
生吞寄生虫减肥坑骗了一个时代的至暗传说
图片尺寸698x469
拍了x光片后,也可以看到密集的钙化的死亡的猪肉绦虫囊尾蚴
图片尺寸541x576
寄生虫就是想把机体当巢穴,不然怎么叫寄生虫?
图片尺寸495x587
密集恐惧症慎入!男子吃生鱼片体内长满寄生虫
图片尺寸604x399
爆笑解说如何从ct上看出是肺寄生虫病
图片尺寸781x756
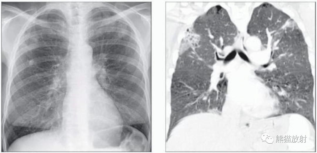
肺孢子菌肺炎卡肺肺寄生虫病丨影像表现
图片尺寸1080x527
肺孢子菌肺炎卡肺肺寄生虫病丨影像表现
图片尺寸1021x496
拍x光片可以拍到虫卵么?
图片尺寸612x816
趣闻给你一张x光片做成的唱片你敢听吗
图片尺寸1080x1253
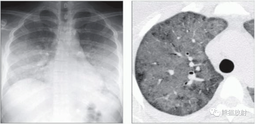
肺孢子菌肺炎卡肺肺寄生虫病丨影像表现
图片尺寸1080x522
科学,医学,白色,人体,医疗,生物学,科学技术,x射线,x光,生理学,寄生虫
图片尺寸529x819