对刃咬合

牙齿对刃咬合有什么危害?
图片尺寸1280x853
宝妈分享贴儿童牙齿对刃是怎么矫正比较好
图片尺寸600x306
上下前牙对齐的咬合还不够标准吗
图片尺寸280x169
对刃关系科普正常的咬合关系是上前牙盖过下前牙三分之一左右,而对刃
图片尺寸1265x356
修复中常常遇到的咬合问题和处理原则
图片尺寸800x448
【前牙对刃,侧切牙反颌矫正案例】 - 好大夫在线
图片尺寸2362x2362
从而导致后边的牙齿形成刃对刃,尖对尖的咬合,甚至反咬合(下牙包上牙)
图片尺寸472x332
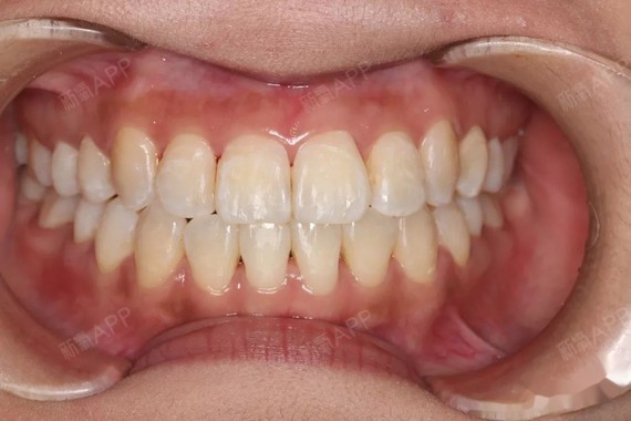
前牙对刃咬合问题非常严重完成所有牙齿矫正改变非常明显结果喜人
图片尺寸570x380
行使正常的咀嚼功能,影响口腔健康;◇长期对刃会造成前牙的咬合创伤
图片尺寸553x350
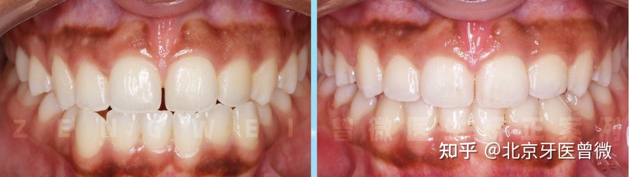
天津美奥口腔对刃颌矫正后对比图片
图片尺寸624x378
成人对刃颌有必要矫正吗?若矫正是否拔牙以及得多长时间
图片尺寸416x253
建he的动力平衡及主要标志牙分类
图片尺寸640x276
一把锋利匕首就能自救?有个方法:一刀干死!
图片尺寸640x537
种植修复中的牙合学思考
图片尺寸940x530
前牙对刃咬合问题非常严重完成所有牙齿矫正改变非常明显结果喜人
图片尺寸570x380
之前因为是对刃,咬合也不好.
图片尺寸1080x1497
上下前牙对刃,做了2年的全口矫正
图片尺寸500x339
牙齿对刃有什么危害
图片尺寸553x415
牙列拥挤个对刃隐形矫正案例分享
图片尺寸1284x1284
西安牙齿矫正前牙对刃露龈笑改善
图片尺寸712x463