小儿牙齿

宝宝一岁发现牙齿是地盖天怎么办
图片尺寸2336x4160
小b班"保护我的大牙齿"
图片尺寸1599x1199
宝宝牙齿有缺陷应该怎么样处理
图片尺寸1024x1024
小儿最合适矫正牙齿的时间段是这些
图片尺寸640x382
宝宝牙齿发育
图片尺寸1080x1371
牙齿咬合无力
图片尺寸268x197
宝宝牙齿越长越稀,代表换牙时会丑?医生:乳牙稀疏有缝才是好事
图片尺寸639x361
小b班"保护我的大牙齿"
图片尺寸1599x1199
宝宝牙齿有白斑
图片尺寸550x350
这个下什么诊断
图片尺寸2592x1944
孩子牙齿有白斑,家长要警惕全口烂牙_大连口腔科普网
图片尺寸550x350
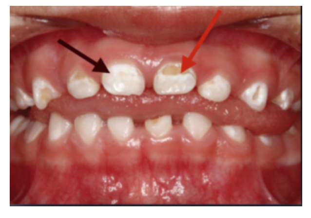
口腔图片有奖征集活动4岁小儿的牙齿怎么了
图片尺寸4160x2336
口腔图片有奖征集活动4岁小儿的牙齿怎么了
图片尺寸4160x2336
脱矿究竟是怎么一回事(牙齿脱矿的原因及预防措施)(2)
图片尺寸638x328
避免蛀牙加重,导致牙髓发炎,使牙齿疼痛,给小孩带来痛苦和影响小儿的
图片尺寸621x387
这是一个不到2周岁宝宝的牙齿,可以看到里面的两颗磨牙已经出现了明显
图片尺寸500x344
小儿从6个月左右第一颗乳牙萌出,到12岁左.
图片尺寸499x281
小儿龋病小儿龋病概述小儿龋病(dental caries)是牙齿硬组织逐渐被
图片尺寸300x220
真讨厌娃牙齿上的黑斑去也去不掉
图片尺寸638x448
儿童牙齿常见问题及解决方案
图片尺寸474x316