小关节紊乱 x线

腰椎小关节紊乱
图片尺寸1280x959
山西首例!长治二院,给力
图片尺寸1080x883
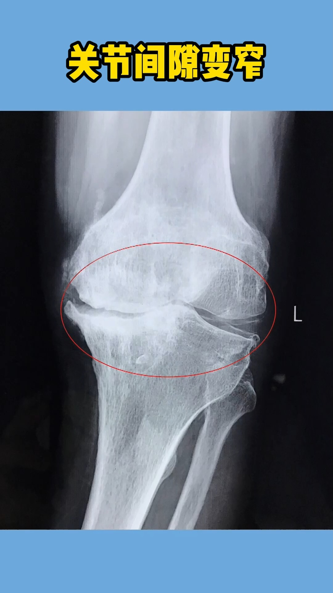
关节间隙变窄,软骨磨损严重
图片尺寸1080x1920
体格检查:站立位弯腰腰痛( ),坐立位弯腰腰痛( ),右侧骶髂关节压痛,l2
图片尺寸858x691
求一张膝盖小骨片游离的真实x光照片?
图片尺寸1080x788
帮我看看,谢谢了.
图片尺寸2928x2328
我的脊椎是什么问题?
图片尺寸920x1632
胸椎小关节紊乱症健康科普!
图片尺寸512x512
术前x线可见患者双膝内翻畸形严重,膝关节内外侧磨损不一.
图片尺寸2142x2074
双手x线:双手普遍骨质疏松,关节骨端显著,双手腕及多发掌指关节及指间
图片尺寸671x662
腕关节x线图像.
图片尺寸1073x1200
22个四肢骨关节外伤x线易漏诊病例
图片尺寸1080x786
脊椎各部位小关节紊乱详解(干货分享)
图片尺寸1024x947
椎旁小关节病变影像诊断
图片尺寸1080x607
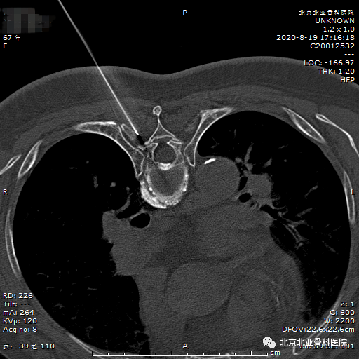
胸12骨折节段椎体前后缘,临近小关节,椎板间大量骨质增生,硬化并融合.
图片尺寸429x515
x线 ectra分类标准(美国风湿病学会1987年)① 晨僵持续1小时(每天)
图片尺寸1080x427
ddh (发育性髋关节脱位)
图片尺寸1920x1440
女37岁右手肘关节疼
图片尺寸1080x1439
这20 个骨关节影像征象,总有一个你没见过!
图片尺寸1080x1394
合肥中山骨科医院_关节炎——老年人的痛_膝关节_患者_进行
图片尺寸500x377