小叶性肺炎x片

肺炎患者x线片
图片尺寸950x1200
胸片如何看肺炎,这篇文章帮你立刻入门!
图片尺寸1000x796
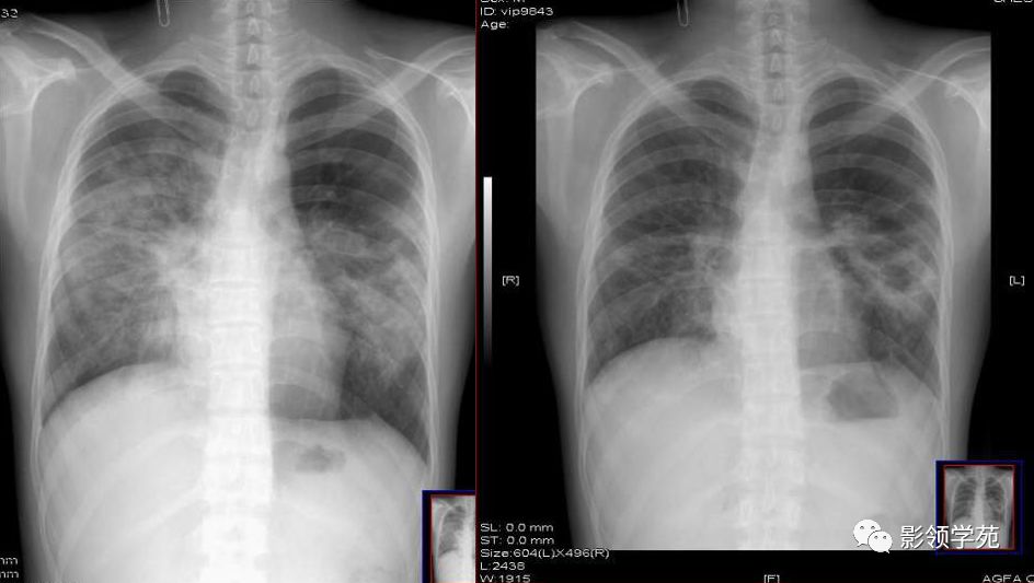
图中可见右上叶"斑点花",根据公式诊断为小叶性肺炎图中可见右上叶"一
图片尺寸314x338
正确答案:支气管肺炎又称小叶性肺炎,常见病原菌为金黄色葡萄球菌
图片尺寸405x450
【高尚科普】支气管肺炎_小叶_病变_炎症
图片尺寸958x389
全小叶型肺气肿
图片尺寸819x525
肺炎怎么治疗啊?
图片尺寸800x450
肺炎的影像诊断和鉴别诊断
图片尺寸944x533
x线显示肺段或肺叶实变,或呈小叶样浸润,可有单个或多发的液气囊腔
图片尺寸418x244
26张图,细菌性肺炎与病毒性肺炎,详细影像汇总!│以影识病
图片尺寸1080x828
x线读片技巧ppt
图片尺寸1080x810
性男, 男岁,性6岁5咳嗽 月2咳嗽 ,咳月 3血 天 a天.
图片尺寸1080x810
正常人的胸部x片及c t.
图片尺寸440x442
肺炎伴左下肺节段性不张4.22
图片尺寸2000x2667
咳嗽到诊断肺炎没让孩子输液持续记录
图片尺寸1560x2080
树芽征 白色箭头:气腔结节 而初期细支气管周围炎常快速进展为小叶
图片尺寸1551x1080
肺炎的影像诊断和鉴别诊断
图片尺寸1010x526
肺炎的x线和ct表现ppt
图片尺寸1080x810
复件 右侧小叶性肺炎伴左肺气肿.jpg
图片尺寸1600x1200
肺炎支原体感染有什么症状和危害(肺炎支原体感染的症状是什么)(1)
图片尺寸640x640