小孩双生牙图片

孩子7周岁,双排牙,怎么操作?
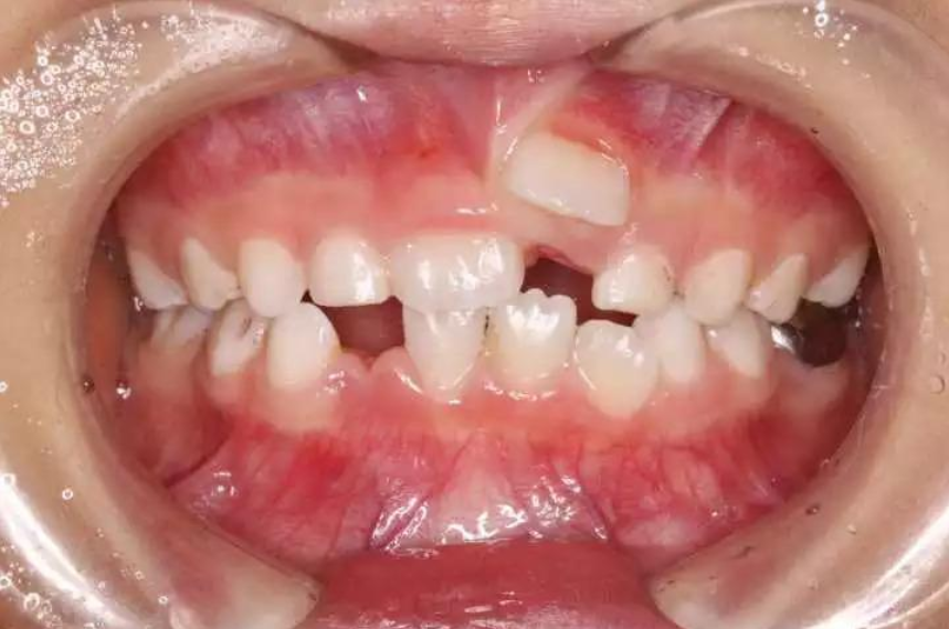
图片尺寸3456x4608
宝宝长了双层牙快吓死爸爸妈妈了
图片尺寸617x459
孩子为啥会长"双排牙"?跟这些坏习惯有关系,家长要了解
图片尺寸624x617
8岁孙子长出"双排牙",医生:只能一颗颗拔掉,奶奶哭诉:都怪我
图片尺寸2048x1519
7岁男孩长出双排牙需要一颗颗拔掉竟然是因为这个坏习惯
图片尺寸830x439
没注意宝宝两颗牙长在一起了
图片尺寸600x343
6岁男孩竟然长出"双排牙" 家长注意:皆因孩子饮食太精细
图片尺寸400x533
孩子长了双排牙怎么办别急简单两步马上搞定
图片尺寸640x473
6岁孩子长出"双排牙",却是父母惯娃惹的祸,家长都要警醒
图片尺寸640x442
吓人的"双排牙宝宝"越来越多,跟家长的一个坏习惯有关,早点改
图片尺寸859x570
儿童下门牙双排牙是怎么回事
图片尺寸509x334
父母晒孩子双排牙齿,还以为是孩子"发育好",网友:赶紧送医院
图片尺寸1000x618
孩子长出"双排牙",竟是因吃得太精细-爱问医生-小队长-爱问医生
图片尺寸504x300
原创7岁男孩长"双排牙",需要一颗一颗拔掉,妈妈自责不已:都怪我
图片尺寸640x480
出现双排牙需要做手术吗?
图片尺寸800x500
孩子总哭喊牙疼医生双排牙都长坚实了爸妈早干吗去了
图片尺寸1200x757
孩子竟然长出双排牙,家长们该怎么办?
图片尺寸500x357
双牙畸形双生牙与融合牙
图片尺寸426x274
儿童出现双排牙怎么办
图片尺寸726x473
孩子长出"双层牙",只因家长总给孩子吃这种食物,孩子白遭罪
图片尺寸1170x761