小孩长爆牙齿图片

人的一生共有乳牙和恒牙两副牙齿.
图片尺寸368x240
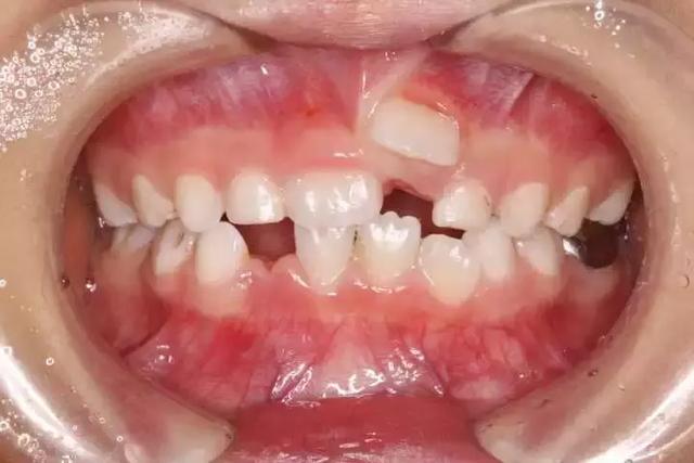
就会形成恒牙,乳牙挤成一堆的情形出现,导致孩子的牙齿无法排列整齐
图片尺寸640x482
孩子换牙,牙齿长得很丑,不整齐怎么办?其实不用太担心!
图片尺寸640x406
在妈妈的询问下,暖暖告诉妈妈,自己每次吃东西时,牙齿总要咬住自己
图片尺寸640x429
5个月宝宝喜提两颗小乳牙#第一颗乳牙 #宝宝长牙齿了 #可爱 - 抖音
图片尺寸1074x1434
六岁小孩子牙齿长成这样怎么弄啊,有没有遇到这种的家长有经验呀!
图片尺寸780x1052
孩子的牙长这样怎么办,7周岁
图片尺寸864x1152
孩子长出电影中"异形"般的双排牙齿,家长惊慌:莫非宝宝是超人
图片尺寸640x853
8岁小孩长出畸形双排牙,听完牙医的诊断报告,父母愣住了!
图片尺寸640x428
前几天丽珍在给孩子刷牙的时候,发现孩子的牙齿特别奇怪,因为她发现
图片尺寸690x517
双排牙齿很多宝宝在吃饭的时候都是狼吞虎咽的,食物没有经过很好的
图片尺寸640x438
问下大家,快9岁小孩,牙齿为什么长这样?
图片尺寸612x816
孩子总哭喊牙疼医生双排牙都长坚实了爸妈早干吗去了
图片尺寸1200x757
10个孩子里5个长双排牙,医生感叹:都是家长喂出来的
图片尺寸640x427
小孩子的牙坏了,新牙长出来长偏了
图片尺寸2448x3264
在妈妈的询问下,暖暖告诉妈妈,自己每次吃东西时,牙齿总要咬住自己
图片尺寸640x451
医生:原因有3种,家长要重视_腾讯新闻
图片尺寸1000x689
小朋友长双排牙是什么原因南昌维乐口腔看儿牙如何
图片尺寸500x333
宝宝牙齿长出来了怎么处理,宝宝长牙怎么办
图片尺寸515x379
宝宝多久牙齿出来怎么办啊宝宝牙齿多久长好一颗
图片尺寸768x1024