小片子 正常

影像-正常胸片
图片尺寸1728x1080
收集总结的正常x线解剖图片学习,已更新常见x线疾病片子(值得一看)
图片尺寸476x442
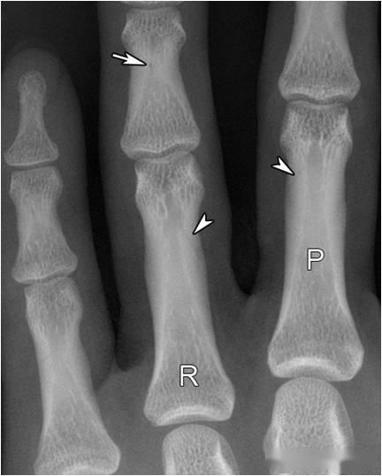
x线诊断要收藏的7个手部正常征象片子
图片尺寸470x586
丁香园论坛
图片尺寸2243x2693
一张胸片能给我们提供多少信息
图片尺寸1080x810
x线诊断要收藏的7个手部正常征象片子
图片尺寸432x538
收集总结的正常x线解剖图片学习,已更新常见x线疾病片子(值得一看)
图片尺寸501x318
医生:死亡率25%的疾病多厉害_手机搜狐网
图片尺寸696x596
6岁小儿,咳嗽4天,有痰,不发热.
图片尺寸2560x1920
体格检查:血常规检验各项指数正常,凝血5项检查正常 辅助检查:鼻咽ct
图片尺寸1852x2469
请专家们看看六岁小女孩的脊柱片子
图片尺寸281x500
请大家来看看这张片子,希望大家踊跃发言,好的话我的会送花
图片尺寸1024x768
请看看这个膝关节片子
图片尺寸2592x1944
这是医院拍的x光片子.仔细一看,是一只小孩子的手.
图片尺寸965x1280
【原创】cr胸片,请讨论
图片尺寸1499x1999
5个月婴儿今天手臂扭了一下,拍了片子.正常吗?
图片尺寸768x1024
帮忙看看片子
图片尺寸640x770
运用mippo技术小切口微创治疗锁骨中段骨折
图片尺寸1199x1199
大家来看看这张小孩子 的胸片
图片尺寸3264x2448
一张肘关节的片子
图片尺寸960x1280