小肠隐窝深度

仔猪断奶时如果发生小肠茸毛萎缩就会影响养分吸收.
图片尺寸301x377
radioaetive disease
图片尺寸239x300
猪消化系统及相关术语介绍_疾病_食管_小肠
图片尺寸1080x1065
表面不规则(surface irregularity):隐窝开口增宽,黏膜表面不平,呈
图片尺寸640x480
小肠肠绒毛结构示意图(图片来源于网络)图1.猪的消化系统(摘自www.
图片尺寸501x390
(五)对攻毒大肠杆菌k88仔猪小肠绒毛高度,隐窝深度的分析十二指肠
图片尺寸331x429
狗狗冠状病毒会自愈吗
图片尺寸569x395
每日一雷日本警察好重口味
图片尺寸440x501
表面不规则(surface irregularity):隐窝开口增宽,黏膜表面不平,呈
图片尺寸640x480
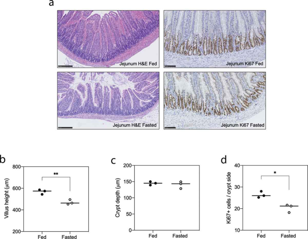
癌症化疗所致肠道损伤怎么破或可通过禁食改善肠道细菌
图片尺寸1000x778
小肠的肠腺
图片尺寸432x695
腹内疝影像诊断
图片尺寸960x720
医学图说乙状结肠间隐窝的应用解剖学
图片尺寸469x398
促进动物肠道结构完整性的秘密武器——氨维乐锌!
图片尺寸787x482
1.6 小肠
图片尺寸445x332
原料的品质,同时降低日粮抗原性,增加肠道吸收表面积,降低隐窝深度
图片尺寸486x262
小肠
图片尺寸775x640
低倍视野下小肠代表性肠段出现深溃疡和相关的黏膜,粘膜下和固有肌层
图片尺寸640x321
粘膜上皮是单层柱状,由柱状细胞和杯状细胞组成,后者数量明显多于小肠
图片尺寸269x460
第五节 小肠small intestineppt
图片尺寸1080x810