小脑幕切迹疝CT

神经内科科室死亡病例讨论之小脑幕切迹疝or 枕骨大孔疝
图片尺寸848x313
脑疝的头颅ct片是这样的八个并发症告诉你
图片尺寸960x1920
必点收藏颅内疝影像汇总
图片尺寸823x850
左侧海马沟回向内侧移位,基底池模糊,以上提示左侧小脑幕切迹下疝
图片尺寸405x433
急性脑出血脑疝病人绿色通道
图片尺寸3264x2448
右侧颞叶脑水肿继发中度小脑幕切迹疝鞍上池及四叠体池消失,中脑受压
图片尺寸534x702
钟书教授专栏丨中枢重症第26期图解脑疝
图片尺寸1080x810
脑疝分类及影像学表现图解丨影像天地
图片尺寸960x720
术后即刻ct:小脑幕缘高密度影,考虑造影剂渗出.
图片尺寸2667x2000
钟书教授专栏丨中枢重症第26期图解脑疝
图片尺寸1080x810
患者已经昏迷,估计随着时间的发展,出现脑疝的可能性 .
图片尺寸3872x2418
各种疝的ct影像诊断
图片尺寸960x720
必点收藏颅内疝影像汇总
图片尺寸960x720
神经外科二病区-住培学员教学查房 (脑疝篇) 2018-9-29
图片尺寸1598x1198
小脑扁桃体下疝有没有一辈子都不会发病
图片尺寸800x451
小脑幕中段水平轴位切面ct图造影增强
图片尺寸706x1079
女,42岁,饮水呛咳,声音嘶哑4年伴行路不稳,小脑扁桃体下疝
图片尺寸1216x926
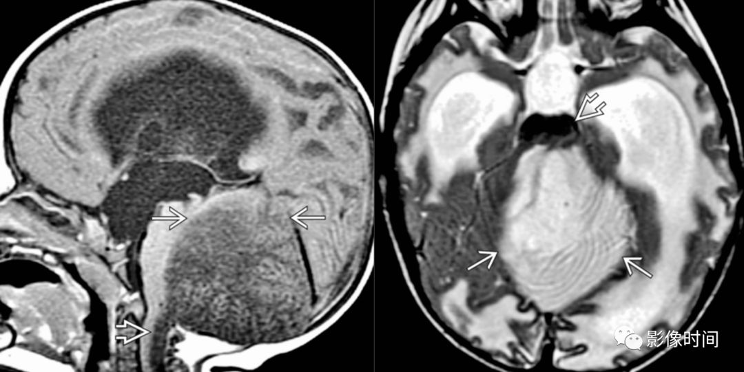
上行小脑幕切迹疝小脑半球占位导致上行小脑幕切迹疝,小脑半球跨越
图片尺寸1080x541
脑疝的分类及影像学特点图解_小脑
图片尺寸910x848
脑疝,脑死亡——影像诊断详细篇!_小脑
图片尺寸882x432