小脑转移瘤

脑转移瘤_介绍_症状表现_检查_治疗方式 - 好大夫在线
图片尺寸2733x3644
脑转移瘤1.jpg
图片尺寸1031x824
脑转移(bm)影响肿瘤患者生活质量及生存期(组图)_【吉康旅】
图片尺寸1400x989
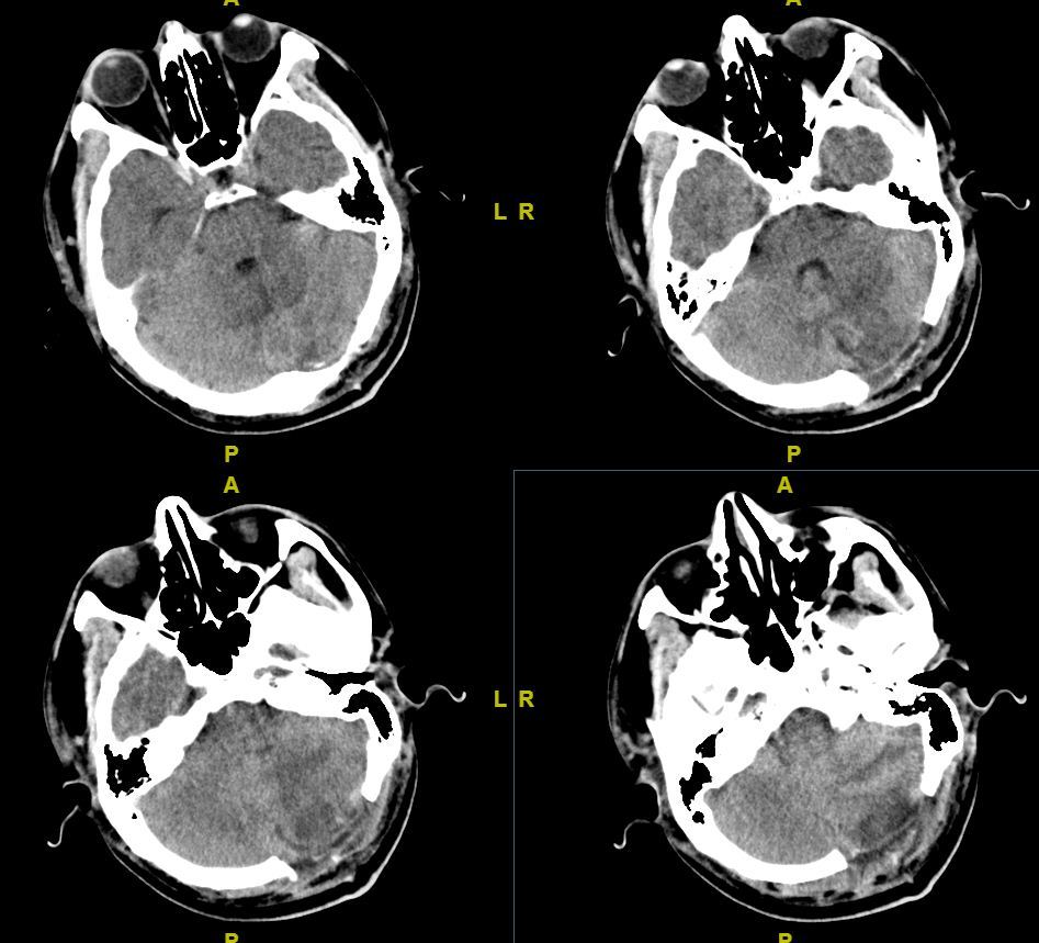
手术治疗多发小脑转移瘤一例
图片尺寸947x859
关于"脑转移瘤"_脑转移瘤_脑转移瘤治疗方式 - 好大夫在线
图片尺寸1824x1368
钆对比剂剂量对增强t2 flair序列与增强t1wi序列脑转移瘤强化效果的
图片尺寸1080x643
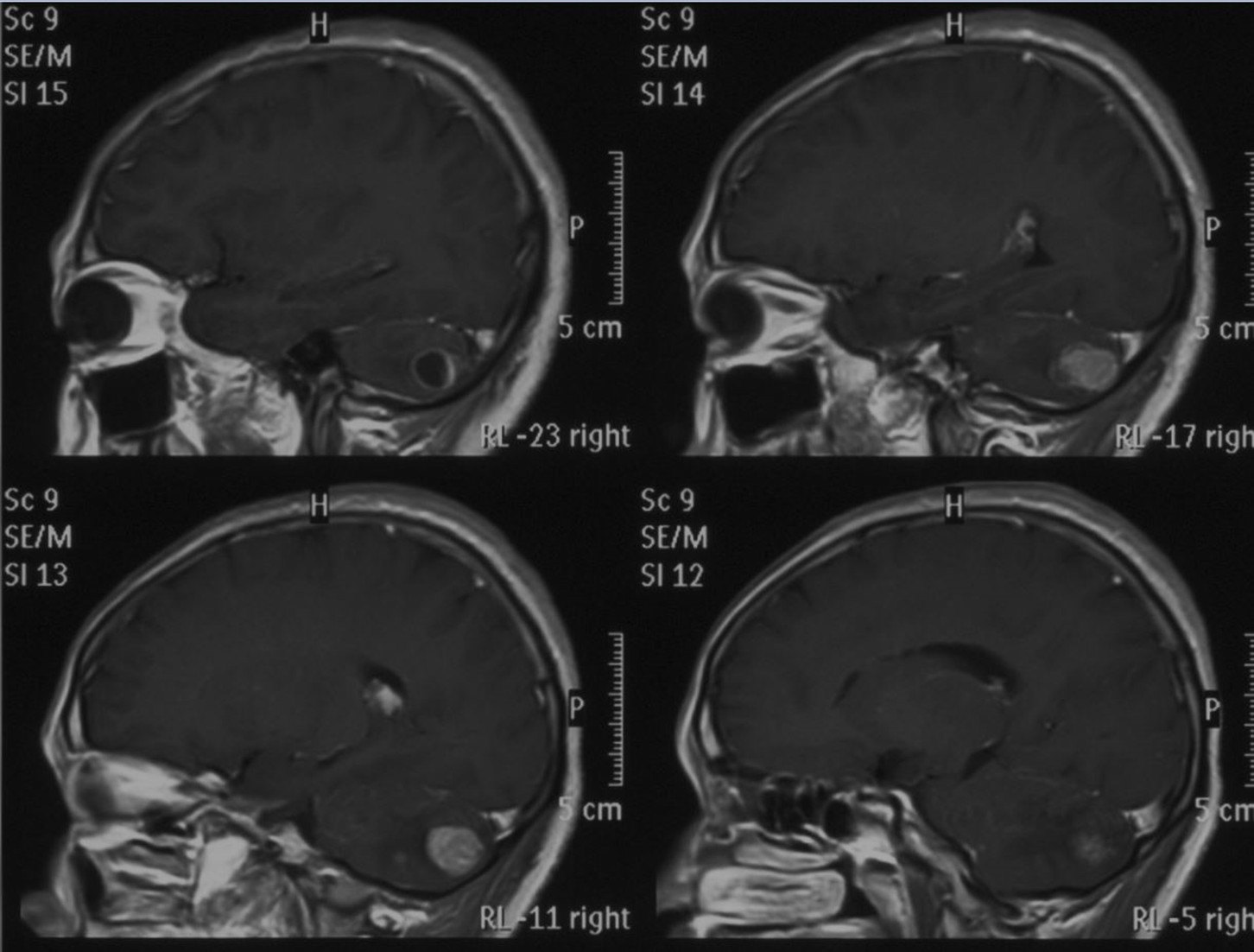
右小脑转移癌_脑转移瘤 - 好大夫在线
图片尺寸774x800
手术治疗小脑转移瘤一例 - 微医(挂号网)
图片尺寸1452x1102
脑转移瘤最需要了解的干货(1):诊断方法_脑转移瘤_脑转移瘤检查 - 好
图片尺寸1407x767
右小脑转移癌_脑转移瘤 - 好大夫在线
图片尺寸755x800
脑转移瘤的诊断治疗
图片尺寸640x480
关于"脑转移瘤"_脑转移瘤_脑转移瘤治疗方式 - 好大夫在线
图片尺寸1824x1368
借例说病之脑转移瘤的伽马刀治疗2
图片尺寸2048x2048
借例说病之脑转移瘤的伽马刀治疗2
图片尺寸700x637
小细胞肺癌脑转移
图片尺寸680x680
借例说病之脑转移瘤的伽马刀治疗2
图片尺寸2048x2048
脑内多发转移瘤伽马刀治疗中的异质性
图片尺寸2048x2048
头部一个小疙瘩快速长大,一定要当心有可能是恶性转移瘤__财经头条
图片尺寸1600x1366
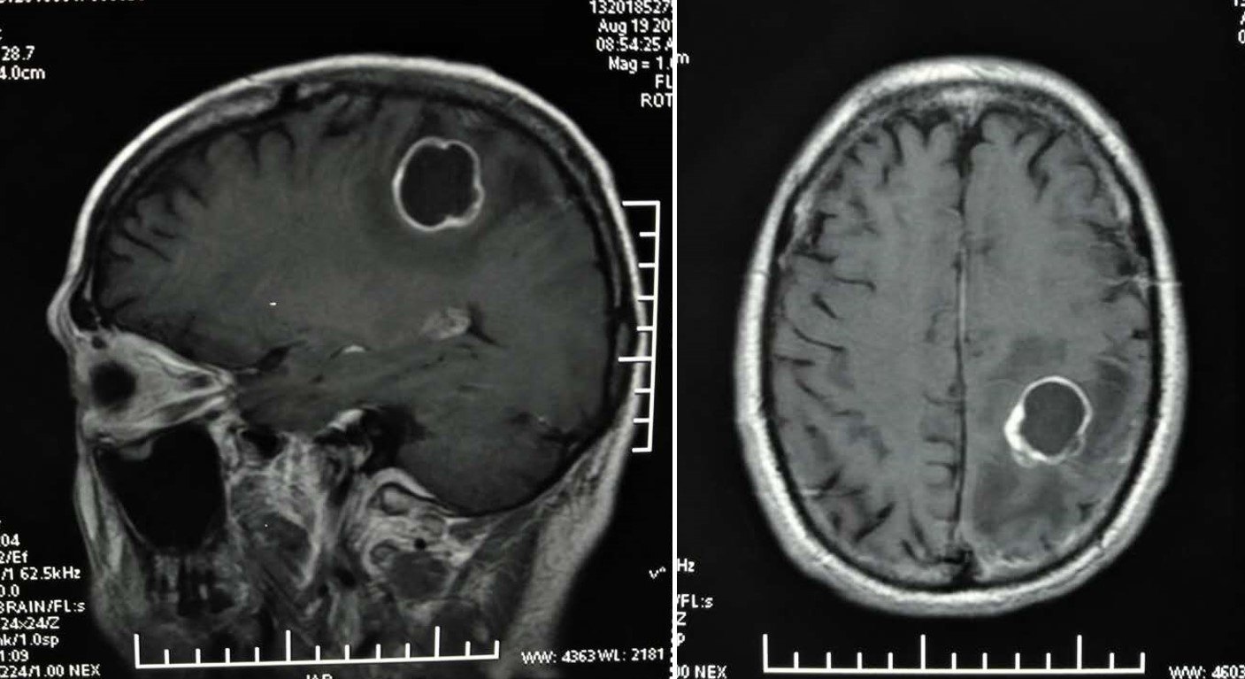
手术切除脑转移瘤1例患者重获新生
图片尺寸1347x700![[有图有真相]脑转移瘤的诊断与鉴别诊断](https://i.ecywang.com/upload/1/img0.baidu.com/it/u=3542893284,910044240&fm=253&fmt=auto&app=138&f=JPEG?w=500&h=786)
[有图有真相]脑转移瘤的诊断与鉴别诊断
图片尺寸500x786