小腿肌疝图片

32岁司机小张,偶然发现竟然有小腿上有"肌疝"!_手机搜狐网
图片尺寸410x518
【基本信息】男,18岁,学生病例摘要外科病例普外科病例·右小腿肌疝
图片尺寸3120x4160
有没有人有小腿肌疝?怎么感觉这个病没法子治?
图片尺寸1080x2244
特殊病例之肌疝
图片尺寸400x340
【基本信息】男,18岁,学生病例摘要外科病例普外科病例·右小腿肌疝
图片尺寸3968x2976
做完腹股沟疝手术腿疼走不了路原路返回找到病因
图片尺寸424x600
有没有人有小腿肌疝?怎么感觉这个病没法子治?
图片尺寸1280x2560
右小腿术后比目鱼肌凸起包块.
图片尺寸672x548
特殊体位的多发肌疝
图片尺寸554x236
为什么一边小腿下部内侧肌肉突出
图片尺寸893x1024
32岁司机小张,偶然发现竟然有小腿上有"肌疝"!_手机搜狐网
图片尺寸621x426
临床上比较少见,小腿比较常见,大部分肌疝块在0.6cm下面,有时是多.
图片尺寸495x300
小腿这里鼓出来一块肌肉
图片尺寸1080x1439
有懂的宝妈帮忙看下,这是肌疝吗?
图片尺寸716x960
因为影响腿型的肌肉通常斜向附着在小腿前面和侧面,拉筋板最主要拉的
图片尺寸1080x614
肌疝病例随访
图片尺寸400x362
有没有人有小腿肌疝怎么感觉这个病没法子治
图片尺寸429x440
腓肠肌(蓝色)是覆盖小腿上部的两块肌肉,呈圆形且凸起.
图片尺寸522x872
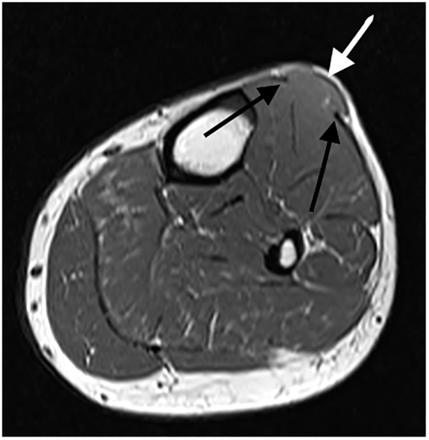
胫骨前肌肌疝
图片尺寸1334x1002
图片
图片尺寸641x473