小舌头扁桃体

关于慢性扁桃体炎你该知道原创
图片尺寸511x402
小孩扁桃体肿大二度以及3度随着年龄增长会自愈吗
图片尺寸558x345
以及原因("扁桃体"发炎的症状,起因及治疗)「简单易懂」-生活小妙招网
图片尺寸700x494
问:我嗓子里面长了个跟小舌头大小的东西,在左侧.是什么啊?怎么办?
图片尺寸338x600
扁桃体肿大分度图解版
图片尺寸556x370
8 消化系统常见疾病ppt
图片尺寸1080x810
口咽部 软腭 悬雍垂 舌腭弓 咽腭弓 扁桃体 咽后壁
图片尺寸1080x810
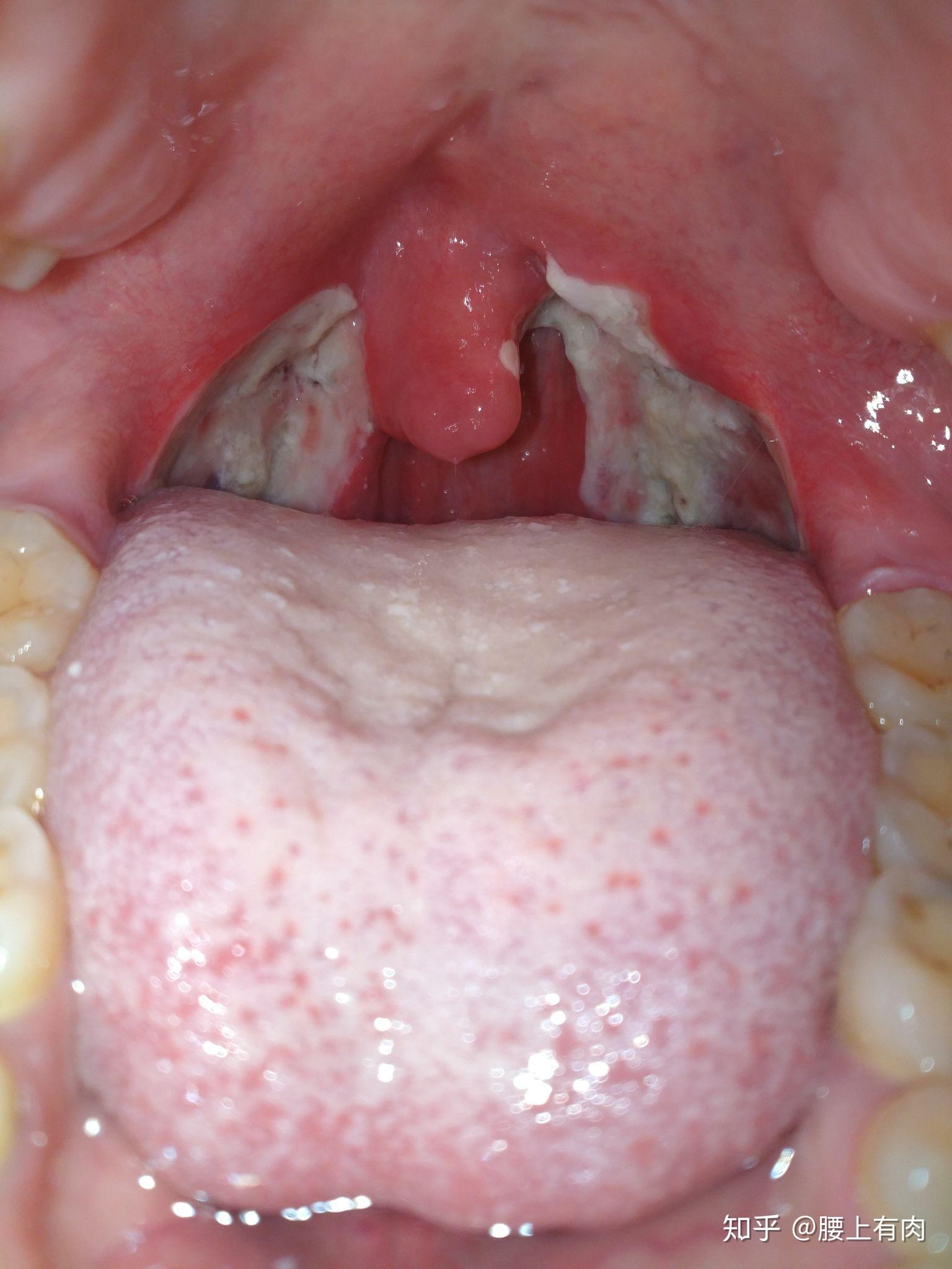
医生建议扁桃体切除,切还是不切?
图片尺寸1198x1598
遵义市新蒲新区蔷薇幼儿园~关于疱疹性咽峡炎的通知
图片尺寸877x707
扁桃体有点像海绵,它有很多细小的小孔和裂纹.
图片尺寸3592x2664
扁桃体前面疼腭扁桃体正常解剖图片口腔 扁桃体小舌头旁边两块肉是
图片尺寸269x271
呼吸道及消化道症状前来就诊,检查咽喉发现:宝宝的悬雍垂,软腭,扁桃体
图片尺寸1080x1412
软腭下垂的照片
图片尺寸343x283
图片 创意图片 咽喉扁桃体jpg 大小:3.
图片尺寸800x1200
我终于失去了我的扁桃体快乐的转圈圈
图片尺寸1080x1440
孩子感冒怎么总和扁桃体有关?扁桃体发炎还有
图片尺寸1280x1680
切扁桃体之后是什么感觉
图片尺寸776x810
切扁桃体之后是什么感觉
图片尺寸1536x2048
扁桃体位置图
图片尺寸679x453
扁桃体炎是什么东东
图片尺寸500x393