小鼠卵巢

老鼠解剖实验大鼠小鼠的肉体剖检诊断及有机组织样品采集视频
图片尺寸600x389
雌性小鼠卵巢为系膜包绕,形成卵巢囊,不与腹腔相通.
图片尺寸847x619
睦科生物 | 小鼠卵巢摘除模型ovx(骨质疏松)构建细节_进行_实验_雌
图片尺寸693x682
胰岛素的降血糖作用及小鼠解剖实验报告
图片尺寸479x364
小鼠生殖系统解剖
图片尺寸509x248
小鼠在移植了3d打印的卵巢后成功分娩
图片尺寸600x600
实验专栏丨大鼠卵巢摘除模型
图片尺寸499x500
小鼠解剖实验报告
图片尺寸673x505
大鼠小鼠的剖检诊断及组织样品采集
图片尺寸554x483
实验小鼠子宫卵巢动脉分离
图片尺寸544x370
图丨缺少 enh13 的xy型小鼠发育出了子宫,卵巢,输卵管在人体中,enh13
图片尺寸1080x330
取出小鼠的子宫,输卵管,卵巢,及一部分脂肪,然后在滤纸上切除输卵管的
图片尺寸494x206
sdt小鼠卵巢切除术_卵巢切除_宠物_宠物其他
图片尺寸1080x1439
常规方法是取出卵巢,输卵管及部分子宫.1. 麻醉一只雌性小鼠.
图片尺寸421x426
小鼠解剖图8
图片尺寸537x723
自然科学 生物学 小鼠生殖系统解剖 雌性小鼠生殖器官包括卵巢,输卵管
图片尺寸893x316
动脉夹夹实验小鼠子宫卵巢动脉
图片尺寸475x314
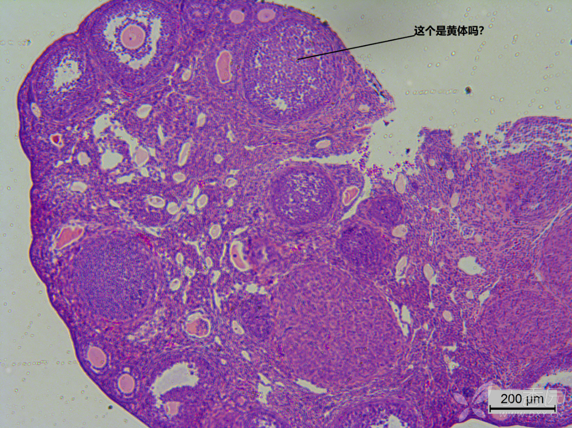
求帮忙辨认小鼠卵巢的黄体
图片尺寸1166x873
新手一枚,近期做了小鼠卵巢he染色,但是不知如何分析图片.
图片尺寸1360x1024![msy2敲除雌性小鼠和正常雌性小鼠卵巢的组织学[6].a–c.](https://i.ecywang.com/upload/1/img2.baidu.com/it/u=3075206833,1222792771&fm=253&fmt=auto&app=138&f=JPEG?w=500&h=544)
msy2敲除雌性小鼠和正常雌性小鼠卵巢的组织学[6].a–c.
图片尺寸516x561