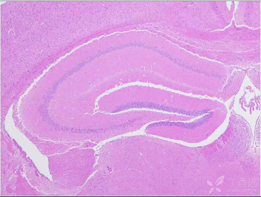
小鼠海马切片图

小鼠海马15x
图片尺寸1000x563
求助:小鼠脑部切片,要观察海马ca1区,下丘脑和皮质,可以在一个切面上
图片尺寸469x387
求问大神们:小鼠海马he切片出现裂纹是怎么回事?
图片尺寸1000x750
求问大神们:小鼠海马he切片出现裂纹是怎么回事?
图片尺寸1004x758
小鼠海马体切片进行免疫组化染色
图片尺寸303x328
请问同一张小鼠脑组织海马体切片上 细胞形态差距太大 第二张图片上
图片尺寸2560x1920
【求助】请教大家小鼠脑冠状位包含海马的切片定位
图片尺寸1865x1400
小鼠脑组织海马体染色切片问题~ 求解
图片尺寸2560x1920
7,正常小鼠和海马体颗粒细胞凋亡的小鼠全脑成像
图片尺寸640x425
ad模型常用研究动物模型——5×fad转基因小鼠
图片尺寸766x571
小鼠海马免疫组化
图片尺寸2070x1548
imicro 中国科学技术大学 显微摄影比赛
图片尺寸1520x945
imicro 中国科学技术大学 显微摄影比赛
图片尺寸3904x2772
小鼠成年后学习记忆及海马神经的影响
图片尺寸1063x309
ht22小鼠海马神经元细胞
图片尺寸700x525
【求助】小鼠脑组织冰冻切片he染色 读片,请高手指导
图片尺寸639x481
小鼠海马神经元ht22细胞培养求助
图片尺寸3072x4096
(后续)小鼠大脑切片
图片尺寸1920x1918
小鼠脑组织分布,及海马体剥离
图片尺寸1476x1080
4.szrd对app/ps1转基因小鼠海马aβ沉积的影响.
图片尺寸568x600